Kameraadaption an Zeiss Standard

Begonnen von Svilen A., Juli 14, 2015, 19:15:46 NACHMITTAGS

Vorheriges Thema - Nächstes Thema

Svilen A.

Danke Jon, die Programm geht gut mit die 1100D. Aber leider das hilft nicht... Mit beide Kameras - gleiches Resultat :( Sieht aus wie Peter sagte, dass das Problem liegt an der Fotoadaption. Es ist wie da waere ein diffusion Filter oder matt glass drin... So sieht die originale pixels (mit 1100D gemacht), besser geht es nicht :(

Svilen

JB

Zitat von: Svilen A. in Juli 14, 2015, 23:55:47 NACHMITTAGS
Sieht aus wie Peter sagte, dass das Problem liegt an der Fotoadaption. Es ist wie da waere ein diffusion Filter oder matt glass drin...

Ja, wenn das Projektiv sonst in Ordnung koennte die Unschaerfe durch sphaerische Bildfehler verursacht sein. In der Mikrofibel http://www.klaus-henkel.de/mikrofibel.pdf ist das auf Seite 147 beschrieben. Der benoetigte Abstand zum Sensor ist danach sogar noch groesser als 125 mm und liegt so etwa bei 150 mm!

Beste Gruesse, Jon

Svilen A.

#17
Heute habe ich mit makro Zwischenringe probiert, mit die K~125mm - das gleiche Sch**se :(  Nur die Vergrosserung geht grosser.



In das Buch dass Jon gezeigt hatte, habe ich gelesen dass man auch ein Okular statt Projektiv nutzen kann und habe ich auch das probiert - noch schlimmer.

Ich habe noch paar Makroringe bestellt, denn die Chinesische kostet nur 11 euro ikl. Versand, und probiere ich noch bischen hocher zu gehen und wenn das nicht hilft, keine Ahnung wo der Problem liegt. Alle Optik sieht gut aus, alles ist 160/-, Beleuchtung und Blenden sind auch reguliert, das Bild in Okulare und auch Projektiv klar ist, aber trotzdem die Bilder kontrastlos und unfokusiert sind...

Svilen

Klaus Herrmann

Hallo Svilen,

wie sieht das visuelle Bild aus, wenn du in den Trtubus schaust - mit einem KPL 10x
Könnte ja sein, dass das Schaltprisma verschmutzt ist!
Mit herzlichen Mikrogrüßen

Klaus


ich ziehe das freundschaftliche "Du" vor! ∞ λ ¼


Vorstellung: hier klicken

Jürgen Boschert

Hallo Svilen,

sorry, dass ich erst jetzt antworte. Ich hatte nach dem Projektiv gefragt. Es handelt sich wohl um ein Zeiss / Jena (DDR) Projektiv, oder ? Nun, die passen nicht zu Zeiss/West. Bei Benutzung eines Projektives ist es natürlich richtig, die Kamera ohne Objektiv zu benutzen. Versuche doch mal eines Deiner KPL-Okulare im Photostrahlengang und benutze dann die Kamera mit einem Objektiv (am besten eine 35 mm oder 40mm, behelfsweise eine 50 mm-Optik). Das Bild sollte dann besser sein.

Gruß !

JB
Beste Grüße !

JB

Svilen A.

Hallo Klaus,

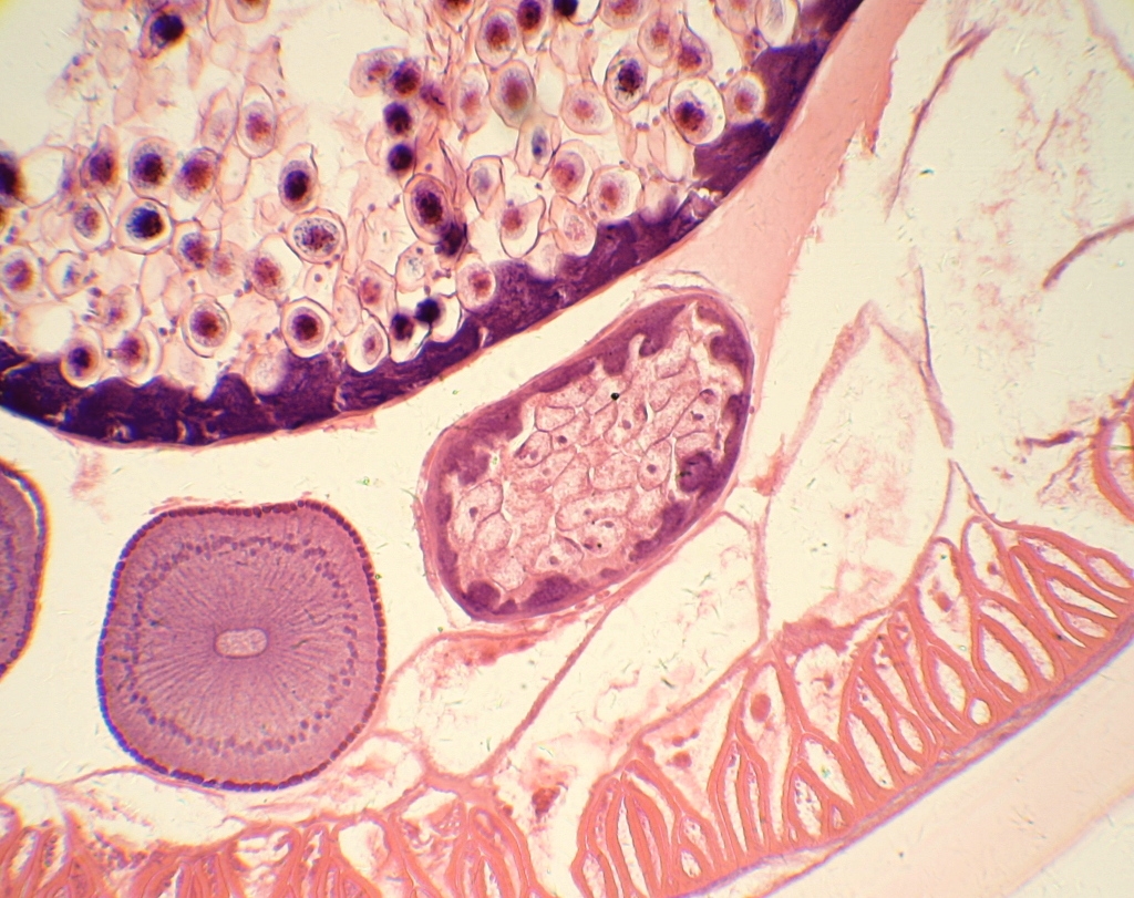
Das Bild in den Trinotubus sieht klar und gleich wie durh die Okulare.
Das ist eine von die beste Bilder, besser geht es nicht: 

Svilen

Svilen A.

Hallo Juergen,

Das hier habe ich fuer Projektiv:



Da steht nicht "Carl Zeiss", aber ich glaube es ist von Zeiss gemacht.

Wie kann man die Kamera mit Objektiv instalieren ? 
Svilen

Jürgen Boschert

Hallo Svilen,

das sieht mir nach einem Zeiss / Ost Okular aus - passt also nicht gut zu Zeiss / West-Objektiven. Anpassen mit Kamera-Onjektiv: Im Prinzip so, wie Du mit Zwischenringen adaptiert ist. Du scheinst ja einen Übergangsadapter an die Schwalbenaufnahme des Zeiss-Phototubus zu haben. In entsprechender Weise kannst Du über das Filtergewinde des Kameraobjektives adaptieren.

Eine weitere Möglichkeit ohne Kamera-Objektiv wäre: Benutzen eines KPL-Okulares, das bei wenig verlängerter Tubuslänge zur direkten Projektion auf den Chip benutzt wird. Dazu könntest Du die Verstellmöglichkeit des Phototubus M verwenden. Das bringt zwar gwisse sphärische Abbildungsfehler, aber ich bin überzeugt, dass das Ergebnis immer noch besser wäre als bei Verwendung des Projektives 4:1.

Gruß !

JB
Beste Grüße !

JB

reblaus

Hallo Svilen -

JB hat schon alles gesagt! Das Projektiv stammt wirklich von Zeiss (Jena) und passt nicht zu dem Objektiv von Zeiss (West). Das bedeutet, dass die restlichen Bildfehler des Objektivs nicht durch ein passendes Okular kompensiert werden.
Man sieht das daran, dass die Bildmitte, wie ich finde, in Ordnung ist (schaue einen dunklen Punkt dort an), während am Bildrand solche Punkte oder dunkle Linien einen starken blauen Farbrand nach außen haben und nach innen einen orangefarbenen, obwohl letzterer wegen der roten Färbung schlecht zu erkennen ist.

Welchen Ausschnitt des Kpl 10x/18-Gesichtsfeldes zeigen denn deine Fotos?

Viele Grüße

Rolf

P.S. Nachtrag: Direkte Projektion mit dem Kpl 10x-Okular war bei mir immer viel schlechter als die vorgeschlagene Kombination: Kpl 10x/18 Brillenokular und ein Kameraobjektiv von etwa 40 mm Brennweite.

JB

Hallo,

Ja, das Projektiv MF K ist von Zeiss Jena, ist aber kompatibel und hat die gleiche Farbkorrektur wie Zeiss West (etwa 1.3%). Prinzipiell sollte es also geeignet sein. Das letzte Bild sieht auch schon recht gut aus. Die Canon 300D wuerde ich aber nicht mehr verwenden - die 1000D ist voellig vibrationsfrei!

Den Vorschlag es mit 10x Kpl Okular und Kameraobjektiv zu versuchen finde ich gut. Dann ist der Tubusaufbau kuerzer, vibriert nicht so sehr und das Bild erscheint durch den groesseren Bildausschnitt schaerfer.

Beste Gruesse, Jon

Svilen A.

#25
Kann es sein, dass ein Zeiss West Projektiv wird das Problem loesen?  

(Ich habe die letzte Antwort zu spaet gelesen. Ja, es sieht aus dass nur ein West Projektiv reicht nicht... )
Svilen

the_playstation

Hallo Svilen.
Auf jeden Fall einen Teil. Vor allem die Farbfehler (besonders am unteren linken Rand zu sehen). Das Bild könnte dann aber noch knackiger, weißer und schärfer sein. Mit jedem Schritt nähert man sich der optimalen Adaption.

LG Jorrit.
Die Realität wird bestimmt durch den Betrachter.

JB

Zitat von: Svilen A. in Juli 16, 2015, 01:36:43 VORMITTAG
Kann es sein, dass ein Zeiss West Projektiv wird das Problem loesen?

Hallo Svilen,

Die Projektive von Zeiss West ("Mipro" oder "Projektiv" http://www.mikroskopie-forum.de/index.php?topic=9446.0 ) funktionieren anders als die MF von Zeiss Jena.

Mipro: reelles Bild im Unendlichen
MF: Kameralaenge 125 mm

Wenn Sie ein Mipro verwenden wollen, dann brauchen Sie zusaetzlich ein Kameraobjektiv, dass das Bild vom Unendlichen wieder auf den Sensor bringt, z.B. den Zeiss Grundkoerper I http://www.mikroskopie-forum.de/index.php?topic=6105.0 und noch einen Ringschwalbenadapter.

Das ist alles hochwertig, aber teuer und kompliziert.

Die oben vorgeschlagene Methode ist einfacher: Zeiss Kpl 10x, ein Festbrennweitenobjektiv 40 mm und ein Ringschwalbenadapter, mit dem das Filtergewinde des Objektivs mit dem Zwischentubus "47 60 05" verbunden wird. Das sieht dann so aus (Variante 4): http://www.mikroskopie-forum.de/index.php?topic=20754.msg156088#msg156088 !

Beste Gruesse, Jon

Svilen A.

Vielen Dank an alle. Ich probiere erstmal was einfacher ist - Kameraobjektiv mit Filtergewinde adapter. Habe ich es aber richtig verstanden dass mit die Methode ein Zeiss Kpl 10x waere besser als ein West Projektiv oder Mipro ?

Gruesse,
Svilen
Svilen

reblaus

Hallo Svilen -

hat deine Kamera einen APS-C-Chip oder ähnliches Format?

Wenn ja, und wenn man davon ausgeht, dass die Bilddiagonale ungefähr dem Sehfeld-Durchmesser entsprechen soll, gelten folgende ungefähre Kombinationen:

Kpl-W-Okular
(Brennweite)   :            Objektiv:


10x                        40 mm (z.B. Pancake)
8x                          50 mm
4x (63 mm Mipro) 100 mm
3x (80 mm Mipro) 125 mm (im Grundkörper 1)

Nachteil der Mipro-Kombinationen: der Aufbau damit wird relativ hoch.

Das einzige leicht erhältliche Okular ist ohnehin das Kpl 10x/18 oder Kpl 10x/20 und die Bilder sind damit nicht schlechter als mit einer Mipro-Kombination.

Viele Grüße

Rolf