Dicker Tropfen, Giemsa-Färbung, Fixierung, Dauerpräparate

Begonnen von TPL, Januar 22, 2016, 12:00:44 NACHMITTAGS

Vorheriges Thema - Nächstes Thema

Stephan Hiller

Hallo Thomas,

in eingen der Antworten klang es ja schon an. Aber ich möchte es nochmal klar ausdrücken: wenn du in ein Malariagebiet reist ist der beste Schutz eine sinnvolle Prophylaxe und das Wissen um die Biologie des Infektionsweges, woraus sich bestimme Verhaltensregeln ableiten lassen. Wenn du die Plasmodien im (in deinem) Blut nachweisen kannst ist es schon viel zu spät, dann hat die Schizogonie (Vermehrungszyklus) der Parasiten das erste Vermehrungsstadium in der Leber bereits beendet und das für Malaria typische periodisch wiederkeherende Fieber hat begonnen, weil sich die Plasmodien in den roten Blutkörperchen befinden und dort eine synchrone Vermehrung begonnen haben.

Vor 35 Jahren als ich in Malaria gefährdete Gebiete reiste hat man prophylaktisch Resochin genommen (war nicht sehr gut verträglich - ging extrem auf die Augen). Außerdem muss es bereits etliche Zeit vor der Reise in ein Malariagebiet eingenommen werden. Mittlerweile gibt es da vielleicht bessere Präparate. Erkundige dich in einem Tropenmediznischen Institut.

Ansonten gelten die allgemeinen Regeln (bezogen auf Malaria) : Vermeidung des Kontaktes mit den Überträgern (Stechmücken der Gattungen Anopheles und Culex), Schlafen unter dem Moskitonetz (lieber ein Mikroskop weniger mitnehmen), Tragen langer Hosen und langärmeliger Hemden (auch wenn es schwer fällt wegen der Temperaturen), meiden von Gebieten in denen es viele Stechmücken gibt.

Auch bei den anderen schon erwähnten unangenehmen Parasiten kann man durch Kenntnis der Biologie des Übertagungsweges entsprechend wirkungsvolle Verhaltensmaßnahmen ableiten. Auch hier würde ich mich unbedingt in einem tropenmedizinichen Institut vor Reiseantritt beraten lassen.

Pass auf und bleib gesund!

Stephan

beamish

Hallo Thomas,

ich habe fast 25 Jahre in Pakistan gearbeitet und es geschafft, zumindest keine Malaria zu bekommen. In den ersten Jahren hatte ich auch Resochin-Prophylaxe betrieben + Moskitonetz. Das habe ich aber nicht vertragen (das Resochin). Dann haben wir eine einigermaßen stabile Stromversorgung hinbekommen und ich habe seitdem ohne Moskitonetz under dem (schnell) laufenden Deckenventilator geschlafen (Bett direkt darunter). Seitdem wurde ich nie wieder gestochen, auch nicht von Indusfliegen, die wegen ihrer Winzigkeit sowieso durch die Maschen des Moskitonetzes kamen (und vollgesaugt nicht wieder raus...).
Repellents wie Autan auf Gesicht, Hände, Unterarme und Füße gerieben, können einen auch unbeschadet durch die Nacht bringen. Ich würde das aber nicht über einen längeren Zeitraum anwenden wollen. Speziell bei Autan habe ich bemerkt, daß Autan an den Händen Kunststoffoberflächen (Kugelschreiber, Kamera etc.) angreift. Für Südasien ist Odomos ein bekanntes wirksames Produkt. Aber ob das auch in Afrika funktioniert weiß ich nicht. Sicher hast du Kollegen, die da schon ihre Erfahrungen gemacht haben. Auf jeden Fall wirst du doch sicher vor der Reise ein Tropeninstitut konsultieren, schon wegen der nötigen Impfungen.
Sorge vor allem dafür, daß du sauberes Trinkwasser hast! Micropur reicht nicht. Ich habe mir erst keine Lamblien mehr eingefangen, nachdem ich unser Wasser durch einen Katadyn-Filter gepumpt habe.

Herzlich
Martin
Zeiss RA mit Trinotubus 0/100
No-Name China-Stereomikroskop mit Trinotubus
beide mit Canon EOS 500D

TPL

Hallo, Ihr vielen Besorgten und Ratgeber!

Danke für die vielfältigen, und teilweise sehr hilfreichen Hinweise. Mein künftiger Arbeitsplatz liegt in einem ruhigen Viertel der Hauptstadt-Metropole mit Blick auf einen großen Fluss (nein, es ist nicht Bonn ;)). Medikamentöse Prophylaxe und das Einbläuen geeigneter Verhaltensregeln werde ich in den kommenden Wochen noch über mich ergehen lassen. Insofern besteht kein Anlass zu übermäßiger Sorge. Gesteine und Erze des Landes werde ich sicher auch zu sehen bekommen, aber im Alltag werde ich überwiegend mit Holzfaser-Produkten (vulgo: Papier) arbeiten.

Viele Grüße
Thomas

rlu

Zitat von: Ralf Feller in Januar 22, 2016, 23:36:45 NACHMITTAGS
Hallo Ralf,
du hast die Pappenheimfärbung sehr detailiert beschrieben, ich hätte dazu ein paar Fragen zum Färberezept.

Das Fixieren mit Methanol ist nicht mehr nötig, wenn die May-Grünwaldfärbung bereits Methanol enthält.
Welchen Einfluß hat Methanol auf die Färbung? Der Romeis stellt das Präparat 10 min in Methanol

In vielen Rezepten wird die May-Grünwaldfärbung nur dekantiert, also man läßt es ablaufen und dann kommt die Giemsalösung drauf.
Was für einen Grund gibt es dafür. Du spülst in Weise-Puffer ph 6,8

Du verdünnst Giemsa stark mit dem Weise-Puffer, damit werden die Färbezeiten sehr lang. Welchen Effekt hat das auf die Färbung?

Das Spülen in Weise Puffer am Ende ist sehr kurz, nach deinem Rezept
Romeis spült gründlich.
In Hallman stand noch etwas von scharfen Abspülen, vermutlich weil die Färbemittel nicht gut filtieriert waren?
Bender spricht von 3 Schritten. (5.) 10s eintauchen in Puffer. (6.) 4min in Puffer Differenzierung. (7.) 3min in Puffer.
Er geht von einer Überfärbung aus, die danach differenziert werden soll.
Hast du dafür eine Erklärung dafür, ist vermutlich heute nicht mehr nötig?

Liebe Grüße
Rudolf


1.   May-Grünwald (methanolische Lösung für die Hämatologie)
2.   Giemsa-Lösung (1 + 19Teile Phosphatpuffer nach Weise pH6,8)
3.   Phosphatpuffer nach Weise pH6,8

1.   Blutausstrich anfertigen und wenigstens 15min Trocknen lassen
2.   in unverdünnter May-Grünwald-Lsg. fixieren und vorfärben
(5 min einfach darin belassen)
3.   kurz in Weisepuffer abspülen
4.   20 min in der verdünnten Giemsalösung färben
5.   in Weise spülen (Sekunden)
6.   in Wasser spülen (Sekunden)
7.   trocknen und mit der 100x Ölimmersion mikroskopieren



JB

Hallo Thomas,

Hier ist eine Anleitung fuer den Blutaussstrich. Wir benutzen die Variante mit einem Haarfoehn zum Trocknen: https://www.wwarn.org/sites/default/files/attachments/procedures/microscopy_eng.pdf Meiner Ansicht nach ist das Filtrieren der Giemsa-Loesung unverzichtbar.

Beste Gruesse,

Jon

ammererlutz

#20
also ganz ehrlich Thomas, vergiß das mit dickem Tropfen als Selbstdiagnose und so.
Wenn du Malaria Symptome -also zu Beginn Fieber plus Aufenthalt in Risikogebiet vor ca 2 Wochen - hast, hat das keinen Sinn, dann geh in ein privates (!!) Spital und lass die Tests machen, das sind in Afrika zuerst immer Schnelltests. Und wenn du keine Symptome hast, wirst du im Blut wohl kaum etwas sehen außer Giemsa Farbbrösel oder Thrombozyten, die du dann in Panik für Plasmodien hältst.
Im Bild siehst du, wie so ein dicker Tropfen aussieht, willst du da allen ernstes eine lebenswichtige Diagnose daraus ableiten ??
Die mikroskopische Diagnostik der Malaria ist sehr störanfällig ( Farb-Ausfällungen der Giemsa Lösung, mangelhaft hämolysierte Erys etc) und bedarf sehr großer Erfahrung, die auch in Afrika immer seltener ist.
( Die Anleitung schrieb Ralf ja schon, wir färbten unten aber nicht nach Pappenheim sondern nur Giemsa, fixiert wird dann der Ausstrich ( nicht natürlich der dicke Tropfen) mit reinem Methanol statt mit May Grünwald, wenn du allerdings May Grünwald mit hast, kannst du damit auch gute Resultate ohne Giemsa erzielen ( s. Protokoll für May Grünwald), dicker Tropfen geht natürlich nur mit der verdünnten Giemsa Lösung) 
erstes Bild je dicker Tropfen und Ausstrich pro OT, zweites Bild dicker Tropfen im Mikroskop, Präparate aus afrikanischem Spital.
mit freundlichen mikroskopischen Grüßen,
Lutz

"Mikroskope und Fernrohre verwirren eigentlich den reinen Menschensinn" ( Goethe)

Herbert Dietrich

Hallo,

Thomas hat Gott sei Dank die letzten drei Jahre überlebt. Ob er sich noch an seine Anfrage vom Jänner 2016 erinnert?
Immer wieder belebt jemand so alte Sachen.

Herzliche Grüße

Herbert

Ralf Feller

Hallo Rudolf,
Die Pappenheimfärbung neigt nicht zum überfärben, auch eine Färbezeit in Giemsa von 15 oder 30 min funktioniert, abspülen mit Puffer oder Wasser Sekunden bis Minuten, das sieht man.
Giemsalösung neigt zu Präzipitaten, daher immer filtrieren wenn sie verdünnt worden ist. Der pH-Wert beeinflusst den Farbton, pH 6,8 mehr blau, pH 7,2 mehr rot, das ist Geschmacksache.
Eine Küvettenfärbung wird meist homogener, als wenn man auf dem OT verdünnt, Präzipitate schwimmen besser ab.

Eine Vorfixierung in reinem Methanol mache ich nur wenn der Ausstrich ungefärbt schon Tage oder Monate gelegen hat um Dreck und Fett aus der Luft zu entfernen.

Malaria-Schnelltests können unzuverlässig sein, auch wenn sie, was in den Tropen nicht immer möglich ist, vorschriftsmäßig gelagert sind. Ich hatte selbst Fälle mit Parasitämie im Prozentbereich, wo der Test nicht angezeigt hat. Ich kenne kein Labor in Deutschland, das auf die Mikroskopie verzichtet, dazu muss selbst in der Nacht Jemand ins Labor kommen und mikroskopieren.

Der Ausstrich sollte zuerst mit dem 10x Objektiv auch im dicken Bereich mikroskopiert werden, wenn ohne Deckglas, dann einfach viel Öl draufsauen um Filarien zu erkennen. Dann Beurteilung mit den 63x Öl oder 100x Öl Objektiv.

LG Ralf

Jürgen Boschert

Hallo zusammen,

nur so am Rande: Habt Ihr eigentlich bemerkt, dass der letzte Post von TPL in diesem Faden aus dem Jahr 2016 war ?  ;D
Beste Grüße !

JB

ammererlutz

Zitat von: Herbert Dietrich in August 12, 2020, 20:04:04 NACHMITTAGS
Hallo,

Thomas hat Gott sei Dank die letzten drei Jahre überlebt. Ob er sich noch an seine Anfrage vom Jänner 2016 erinnert?
Immer wieder belebt jemand so alte Sachen.

Herzliche Grüße

Herbert

:-) :-) :-)  das kommt davon, wenn man das Datum des ersten posts übersieht....

Thomas ist inzwischen sicher Profi beim dicken Tropfen  ;D
mit freundlichen mikroskopischen Grüßen,
Lutz

"Mikroskope und Fernrohre verwirren eigentlich den reinen Menschensinn" ( Goethe)

Ralf Feller


rlu

#26
Änderung:
Evtl. Alternative zum "Dicken Tropfen". Diese Aufnahme ist aus einem dünnen Ausstrich entstanden, wie Ralf ganz richtig bemerkt hat.
Die roten Blutkörperchen sind noch zu sehen, weil sie nicht durch Wasserzugabe oder Wasser in der Giemsalösung geplatzt/lysiert sind.
Am Anfang vom dünnen Ausstrich/thin smear liegen die Erythrozyten noch gestapelt vor, wenn der Ausstrich ausläuft, dann einzeln.

Die Überlegung war, ob man nicht die dicht gelegenen Schichten nutzen kann, um schneller ein positives oder negatives Ergebnis festzustellen.

Die roten Blutkörperchen liegen aufeinander. Man mustert mit dem Feintrieb die Schärfeebenen durch.
Durch diese Methode können pro Gesichtsfeld mehr Parasiten als im dünnen Blutausstrich gefunden werden. Hier sieht man die Kopfhörer- bzw. Siegel- oder auch Ringstruktur von Plasmodium falciparum dem Erreger der Malaria tropica.




Ralf Feller

Hallo Rudolf,

das ist kein Dicker Tropfen, die Erys müssen lysiert, also nicht mehr sichtbar sein.

Dazu: Bluttropfen auf dem Objektträger so lange kreisend mit einem Stäbchen rühren bis er fast trocken ist,

dann: Färbung mit Giemsa beginnen, keine Maygrünewald / Fixierung.

Der Dicke Tropfen eignet sich weniger für die Art-Bestimmung der Malaria.

LG Ralf

TPL

Zitat von: Herbert Dietrich in August 12, 2020, 20:04:04 NACHMITTAGS(...) Thomas hat Gott sei Dank die letzten drei Jahre überlebt. Ob er sich noch an seine Anfrage vom Jänner 2016 erinnert?
Immer wieder belebt jemand so alte Sachen. (...)
Lieber Herbert, – alle,

vielen Dank zunächst, insbesondere auch denjenigen, die berechtigterweise auf die Gefahren laienhafter Selbstdiagnosen hinweisen. Das allein ist schon ein guter Grund, diesen Faden wiederzubeleben!

Ich hatte das allerdings auch nie vor, sondern nur ein naives Interesse daran, gegebenenfalls aus einer ärztlichen Diagnose wenigstens eine unterhaltsame mikroskopische Beschäftigung zu entwickeln. Diesen Gedanken habe ich aber vor Ort (DR Kongo) rasch aufgegeben.

ZitatThomas ist inzwischen sicher Profi beim dicken Tropfen  ;D
Lutz, ich habe das Emoji bemerkt. Und um ehrlich zu sein: ich habe nicht ein einziges Dicker-Tropfen-Präparat gemacht.

Ohne es dramatisieren zu wollen: die schiere Zahl möglicher Infektionen oder Vergiftungen durch offene Wunden – und seien sie auch noch so klein – war mir einfach zu riskant, um mir selber eine zuzufügen. Eine ansonsten lächerliche Verletzung bei Gartenarbeiten heilte über Monate nicht, das Neugeborene einer Mitarbeiterin starb an Tetanus, Menschen mit Konjunktivitis, Polio und anderen Krankheiten stehen bettelnd an den Straßenkreuzungen. Das ist nicht der richtige Ort für närrische kleine Experimente.

Ein Kollege hat, kurz vor meiner Ankunft, seine Malaria-Symptome entweder fehlgedeutet oder ignoriert und musste unter Lebensgefahr ausgeflogen werden. Medikamentöse Prophylaxe gleich welcher Art (bitte gerne korrigieren, wenn ich falsch liege oder die Situation sich verbessert hat) ist allein kein ausreichender Schutz, erfordert eine nicht immer alltagstaugliche Disziplin und hat gelegentlich erhebliche Nebenwirkungen, besonders bei langfristiger Einnahme. Selbst die von mir genutzte Atovaquon/Proguanil-Kombination hat fiese Nebenwirkungen und Wechselwirkungen mit anderen Medikamenten. Die (ungeschriebene) Empfehlung hieß daher: Passiver Schutz vor Stichen, Prophylaxe nur in den ersten paar Wochen, dafür sofortige Konsultation, selbst bei den leichtesten Symptomen.

Herzliche Grüße
Thomas

rlu

#29
Beim dicken Tropfen scheint zumindest beim Plasmodium falciparum das Aussehen verloren zu gehen, um den Erreger sicher bestimmen zu können.
In dem Dokument der WHO findet man unter anderem Bilder für die Bestimmung der Malariaarten. Alles rein akademisch und nicht zur Selbstdiagonse empfohlen.
WHO - basic malaria microscopy learners guide.pdf
Ich kann nicht unterscheiden, ob es Färbeartefakte oder Ringstadien sind. Diese deutlichen Ringe wie in der Dokumentation beim thick film, kann ich nicht erkennen.
Es wäre auch interessant wie Schulungen in der dritten Welt ablaufen. So richtig viele Infos und Bilder habe ich nicht gefunden. Es müßte dazu eigentlich ganze Bildbibliotheken geben.
Das Beste was ich gefunden habe:
Malaria, verschiedene Plasmodien im "Dicken Tropfen" - Bildserie
Vielleicht hat ja sonst noch jemand aus seiner "Praxis" bessere Aufnahmen oder Erfahrungen.
Dicker Tropfen/thick Smear/thick film



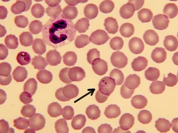
So sieht ein dünner Blutaustrich aus


Detailaufnahme mit Siegelstadium.(Siehe Pfeil)


Bestimmungshilfe Plasmodium falciparum
Oben ist das erste Stadium zu sehen(Ringstadium), nachdem der Erreger in ein rotes Blutkörperchen eingedrungen ist. Wenn das RBK platzt, befallen sie wieder aufs Neue andere RBKs. Die nachfolgenden Stadien sind beim Plasmodium falciparum im Blut nicht sichtbar, weil sich die infizierten Erythrozyten an die Gefäßwände haften und diese blockieren.
Ein Teil davon wandelt sich in Gametozyten, in die geschlechtliche Form, um. Diese zirkulieren im Blut und sind für die Mücke ansteckend. Siehe unten.





Der Kreislauf der Malaria beginnt beim Menschen. Und wie bei Corona laufen bei der Malaria Menschen umher, die krank sind, aber keine oder wenig Symptome haben, obwohl sie an der Malaria erkrankt sind.
Diese stecken wiederum die Mücken an. Und im schlimmsten Fall stechen diese Mücken dann Kinder, Schwangere oder Europäer, die keinen ausreichenden Immunschutz haben. 220 Millionen Kranke und 450.000 Tote jedes Jahr.

Es gilt also diese infizierten, symptomatisch unauffälligen Menschen zu finden und zu behandeln. IMHO.

Liebe Grüße
Rudolf