Hauptmenü

Histologie Simulium Auge

Begonnen von Jürgen H., November 27, 2016, 20:17:38 NACHMITTAGS

Vorheriges Thema - Nächstes Thema

Jürgen H.

Liebe Mitmikroskopiker,

Ende August entdeckte ich bei uns im Garten einen kleinen Schwarm Insekten, der aus etwa 10 Tieren bestand. Unser Garten liegt in Nähe eines kleinen Wäldchens. Ein kleiner Bach fließt durch das Wäldchen, etwa 150 Meter Luftlinie entfernt.

Am Rand unseres Gartens stehen zwei recht große Hainbuchen. Von den beiden Bäumen ragt ein Zweig in etwa 3 Meter Höhe weit hervor. Dort bildete sich der Schwarm, etwas neben und unterhalb des Zweigspitze. Wenn ich den kleinen Schwarm von unten betrachtete, hoben  sich die Tierchen gut gegen den tiefblauen Himmel  ab, zumal sie auch seitlich von der untergehenden Sonne beschienen wurden.

Auffällig war, dass sich die kleinen Fliegen ähnelnden Tierchen nicht auf und ab bewegten, wie Mücken dies gewöhnlich tun, sondern eher  annähernd an ihrem Platz verharrten, mitunter jedoch so blitzartig nach oben schossen, dass ich sie mit den Augen nicht mehr verfolgen konnte.

Ein paar der Tierchen habe ich gefangen. Hier ist das Portraitphoto von einem der Tierchen:


Die Qualität des Photos ist nicht besonders gut, da das Tierchen bereits im Fixans liegt, aber zeigt doch aufgrund seiner besonderen Doppelaugen, dass es sich um ein Kriebelmückenmännchen  handelt.

Beim Versuch einer Bestimmung aufgrund von Unterlagen, die mir Alfons lieberweise zuschickte, glaube ich, dass es sich um odagmia ornata, die "geschmückte Beißerin" handelt.

Einen ersten Paraffinblock habe ich nunmehr angeschnitten. Die Schnittebene ist nicht hundertprozentig frontal gelungen, es ist schwierig, eine genaue Schnittebene zu findet, wenn der Durchmesser des Mückenkopfes  noch nicht einmal 1mm beträgt. Daher habe ich rechts bereits ein wenig tiefer in den Kopf hineigeschnitten, als links, so dass sich kein exakt symmetrisches Bild ergibt.



Die unterschiedlichen Größen der Facettenaugen F1 und F2 sind auch im Querschnitt leicht wieder zu erkennen. Der Durchmesser der  Linsen der oberen Augen dürfte das 2,5 bis 3 fache des Durchmessers der unteren Augen betragen. Die Weite der Linsen sollte einen erheblichen Zuwachs an Lichtstärke mit sich bringen. T ist das quer geschnittene sogenannte Tentorium, ein chitinöses Strebesystem, das den Kopf innen stabilsiert.

Das nächste Bild zeigt eine annähernd gleiche Schnittebene, nunmehr in Azan Heidenhain gefärbt.





Hier zeigt sich wie im vorigen Bild  eine weitere große Besonderheit des männlichen Simuliidenauges. Während  bei den ventralen Augen VA die blau gefärbten Rhabdomere - die im Bild als längliche Striche erscheinen - wie gewöhnlich unmittelbar vor dem Gehirn enden, stellt sich die Situation bei den dorsalen Augen völlig anders dar.
An der Grenze zum Gehirn, dem ersten optischen Ganglion 1. OG befinden sich umfangreiche Trachen, die dort ein so genanntes Tapetum Ta bilden. Die Tracheen liegen dort eng an den Ommatidien an und überlagern sich offensichtlich, so dass des öfteren zwei Trachen längs geschnitten unmittelbar übereinander liegen. Da die Tracheen luftgefüllt sind, liegt ihre Aufgabe darin, eindringendes Licht zurückzuspiegeln. Dies hat das Insekt zum Beispiel mit den Katzen gemeinsam, deren des Nachts  widerleuchtende Augen wir kennen, wenn auch dort der gleiche Effekt mit anderen Mitteln erzeugt wird. Durch dieses Tapetum stoßen nun die Rhabdomere und verlaufen durch das gesamte erste optische Ganglion. Einige quer zu den Rhabdomeren verlaufende Nerven sind im rechten Bildteil als längliche farblose von einzelnen Rhabdomeren unterbrochenen Striche zu erkennen, die sich auf das zweite optische Ganglion 2.OG zubewegen. Das Hineinragen der Rabdomere unmittelbar in das Gehirn dient wohl zu einer besonders schnellen Signalverarbeitung.

Der Gewinn an Lichtstärke durch die großen Linsen könnte nun zu Lasten der Bildschärfe gehen. Betrachtet man aber das erste Bild, fällt auf, dass der Bereich der großen Linsen recht abgeflacht ist. Die Blickrichtung der einzelnen Linsen ändert sich daher jeweils nur geringfügig. Im folgenden habe ich durch Pfeile versucht darzustellen, wie klein die Divergenz des Blickwinkels ist:



Durch den kleinen Divergenzwinkel wird einem Verlust an Bildschärfe infolge der Linsenvergrößerung entgegengewirkt.

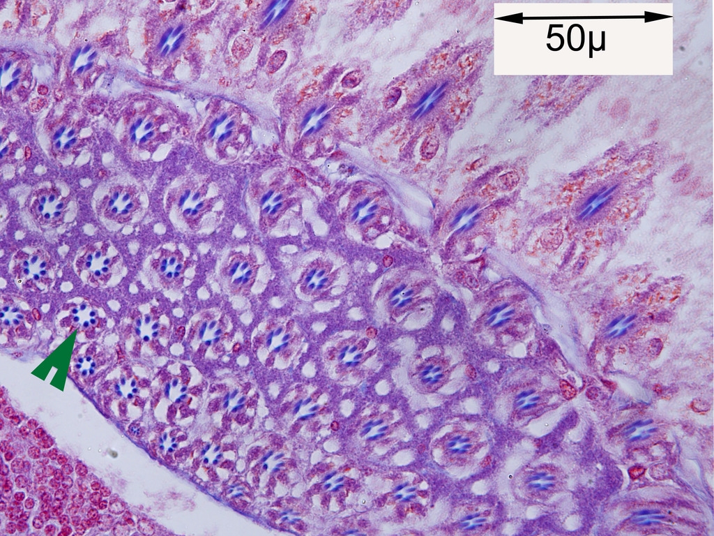
Im folgenden Bild betrachte  ich den Schnitt  mit dem 40er Objektiv etwas näher. Recht deutlich ist das aus Tracheen gebildete Tapetum T zu erkennen, das von den Rhabdomeren Rh durchstoßen wird. Direkt unter dem Tapetum befinden sich einige kleinere Zellkerne, die zu einer so genannten Körnerschicht KS gehören. Es handelt sich bereits um Zellkerne des 1. optischen Ganglions. Größer sind hingegen die Zellkerne der Hauptpigmentzellen HPZ die sich um das Rhabdom gruppieren. Sehr schwach gefärbt sind die Nebenpigmentzellen deren Zellkerne ZkNp in etwa auf gleicher Ebene aufgereiht sind.

 


Im folgenden Bild ist an den Rhabdomeren vorbeigeschnitten worden, weshalb dort kein einziges Rhabdomer zu sehen ist. Dementsprechend ist eine Trachee des Tapetums, die an den Rhabdomen vorbeilaufen dürfte,  nahezu vollständig längsgeschnitten. Und der Bereich der Nebenpigmentzellen mit ihren Zellkernen erscheint als ein lichter Raum.



Beim Anschnitt des Auges ergeben sich Bereiche, bei denen die Rhabdomere quer geschnitten sind. Das Ommatidium erscheint so als eine Einheit, deren 6 Rhabdomere nicht fusioniert sind. Innerhalb der griselig lila erscheinenden Gehirnstruktur zeigen sich kleine weiße Löcher in ähnlicher Anordnung, wie die Rhabdomere, an deren Stelle man sich wohl quer geschnittene Nervenbahnen denken muss.



Wozu nun diese Besonderheiten?

Das Simuliidenweibchen fliegt nicht wie bei anderen Mücken durch den Schwarm, sondern über den Schwarm hinweg. Daher bewegen sich die Männchen innerhalb des Schwarms, bis ein Weibchen kommt, eher horizontal als vertikal. Erscheint aber ein Weibchen als kleiner schwarzer Punkt gegen den blauen Himmel, ist gutes Erkennen und blitzschnelle Reaktion angesagt. Ein gutes lichtstarkes Auge ist gefragt, dessen Information blitzschnell ins Gehirn gelangen muss, um eine sofortige Reaktion hervorzurufen. First come first serve....  

Ich hoffe, dass mir weitere Schnitte von folgenden Blöcken noch gut gelingen und ich die Besonderheiten des Simuliidenauges noch besser darstellen kann.

Schöne Grüße

Jürgen

Ralf Feller

Lieber Jürgen, das ist eine tolle hervorragende Arbeit wie wir sie von Dir kennen, Danke.
Wie fixierst und entwässerst Du zur Zeit? Welches Intermedium benutzt Du?

viele Grüße, Ralf Feller

Jürgen H.

#2
Lieber Ralf,

Dies ist die verwendete Methode:



Fix in Bouin Dubosq Brasil, auswaschen in ISO 70%.
Sodann in folgenden Stufen:

ISO 90%
ISO 90%/N-Butylalkohol im Verhältnis 65/45%
ISO 100/NButylalk 25/75
ISO 100/NButylalk  25/75
Dito
N-Butylalkohol
N-Butylalk mit wachendem Paraffinanteil
Umsetzen in reines Paraffin
Block gießen

Ich habe noch Tierchen, die in Davidsons Fixativ fixiert wurden. Ich bin gespannt, ob sich Unterschiede ergeben.

Vielen Dank für Deine Worte.

Jürgen

Alfons Renz

Lieber Jürgen,

Gratulation zu den wirklich hervorragenden Schnitten des Simuliidenauges!

Das hochentwickelte Dorsalauge mit den übergroßen Ommatidien und verlängerten Rhabdomeren hat den einzigen Zweck, die vorbeifliegenden Weibchen möglichst effizient zu erkennen. Weil die Männchen zumeist erst in der beginnenden Dämmerung schwärmen, muss jedes Photon erfasst werden. Deshalb die große Öffnung des einzelnen Ommatidiums, die bis hinter das Tapetum lucidum verlängerten Rhabdomere, welche die Photonen in elektrische Impulse umsetzen und wie gewundene Lichtleiter im Bogen bis zum Gehirn führen, sowie ein spezielles Pigment, das nur im Dorsalauge vorkommt und auf das in der Dämmerung ins rötliche verschobene Lichtspektrum optimiert ist.

Offenbar behauptet sich dieses Erfolgsprinzip schon seit vielen Jahrmillionen, wie es diese in Bernstein erhaltene, schwärmenden Männchen beweisen:





Man kann die Reaktion der schwärmenden Kriebelmücken-Männchen leicht testen, indem man ein kleines Steinchen über den Schwarm wirft: Die Männchen verfolgen das Objekt zunächst, bis sie dann enttäuscht abdrehen. Duhast auch einen Hinweis gegeben, wo man die Schwärme findet: In der Nähe ihrer Brutgewässer (Stromschnellen), bevorzugt unter 'optischen Marken': Das sind einzeln stehende Bäume, unter deren Ästen die Männchen in einer Distanz von ca. 20 - 50 cm schwärmen. Ein 'Schwärmen' ist somit definiert als ein Aufenthalt zu gegebener Zeit an einem ganz speziellen Ort. Sozusagen ein Rendez-vous Platz, an dem sich die frisch geschlüpften Kriebelmücken treffen.

Die beiden in Bernstein fixierten Männchen schwärmten offenbar unter/um einem harzenden Baum und wurden so verewiglicht.

Mit herzlichen Grüßen,

Alfons


Ronald Schulte

Jürgen,

Fantastische Schnitte und sehr fein Differenziert. Du hast die AZAN gut im griff. Auch besonders zu sehen das hier sechs Rhabdomere zu beobachten sind und kein sieben so wie bei die Drosophila die ich hier auch mal gezeigt habe.

Grusse Ronald
Mikroskope:
Leitz Orthoplan (DL, AL-Fluoreszenz und Diskussionseinrichtung).
Leica/Wild M715 Stereomikroskop.
Mikrotom:
LKB 2218 Historange Rotationsmikrotom.

Alfons Renz

Lieber Ronald,

Um das 7. Rhabdomer zu sehen, müsste man das Ventralauge untersuchen: Dort findet man die bei Dipteren übliche Anzahl.
Weshalb es im Dorsalauge fehlt, darüber kann nur spekuliert werden.

Herzliche Grüße,

Alfons

Jürgen H.

Lieber Alfons,

vielen Dank für Deine Worte und die schöne Ergänzung um die Bernsteininklusen! Das Steinchenwerfen hatte ich übrigens ausprobiert, aber erfolglos. Meine Tierchen ließen sich durch mich nicht so leicht täuschen. Vielleicht habe ich aber auch zu hoch geworfen, oder meine Steinchen waren zu groß oder zu klein. Gelesen habe ich, dass die Männchen ein Weibchen gegen den blauen Himmel bis auf ca. 50 cm Entfernung erkennen können.

Rätselhaft ist mir die Ortsfestigkeit der Tierchen. Der von mir beschriebene Flug- und Sammelplatz war schon einmal vor einigen Jahren fester Treffpunkt einer anderen Mückenart. Über eine Dauer von  2 Jahren versammelten sie sich Tiere einer anderen, aber stets der gleichen Art allabendlich dort zur festen Dämmerungszeit, schönes Wetter vorausgesetzt. Und jetzt die Kriebelmücken: Einige Tage hintereinander waren sie dort regelmäßig anzutreffen.

Ebenso natürlich vielen Dank für Deine Worte, lieber Ronald. Deine Histologiebeiträge fesseln mich immer sehr!

Jedes Präparat meiner Insekten führt mich auch immer wieder zu neuen Fragen:

Genau im Scheitel zwischen den Dorsalaugen befinden sich mehrere Haare, offenbar in einer Reihe untereinander geordnet. Im folgenden Bild ist das untere Bruchstück eines solchen Haares zu sehen:



Hier noch einmal ein solches Haar, das auf der chitinösen Kopfkapsel zwischen den beiden Dorsalaugen aufsitzt. Umgeben ist dieses Haar von einigen kleinen unechten Haaren, offenbar Emergenzen des chitinösen Integuments.



Demgegenüber wird das große Haar nicht als Emergenz aus dem chitinösen Integument herausgebildet. Vielmehr bildet die Kopfkapsel an dieser Stelle eine Art Öse heraus, die das Haar umgibt. Es handelt sich also offensichtlich um ein echtes Haar.



Hier sind in der Übersicht noch einmal die unechten Haare 4 zu sehen, die um das echte Haar herum angeordnet sein werden. 3 zeigt eine V- oder gabelartige stark sklerotisierte Struktur, quergeschnitten, die man sich durch den gesamten Scheitel als fortlaufend vorstellen muss. Darunter liegt ein Hohlkörper 2, der durch ein weiches Häutchen vom übrigen Hämolyphraum abgetrennt wird. Kleine rot gefärbte Zellkerne sind entlang des Häutchens zu erkennen, ebenso winzige braun gefärbte Körnchen. Dieser Hohlkörper ist mit den Tracheentapetum möglicherweise verbunden. An der Berührungsstelle zum Tapetum findet sich eine Anhäufung von kleinen rot gefärbten Zellkernen. An der mit 1 bezeichneten Stelle ist die Verbindung zum links gelegenen Tapetum wahrscheinlich infolge der Präparation gerissen.




Bei anderen Insekten, insbesondere bei Bienen kenne ich Haarsensillen, die über das gesamte Auge verteilt sind, und mit denen das Insekt Informationen über den Luftwiderstand beim Fliegen, also zum Beispiel die Windrichtung gewinnen kann. Hier, bei den Simuliiden verspricht aber die  ausschließlich zentrale Lage zwischen den beiden Dorsalaugen wenig Informationsgewinn. Und doch scheint es sich um Organe der Sensorik zu handeln.

Vielleicht hat einer aus dem Forum eine nähere Erklärung?

Schöne Grüße

Jürgen

Ronald Schulte

Jürgen,

Ich habe nochmal besser zugeschaut und sehe im vorvorletztes Bild die ZkNp und im vorletzten Bild die Npz. In beide Bilder handelt es sich doch um die gleiche Typ Zellen: Nebenpigmentzellen oder?
So wie ich lesen kann haben die Insekten 6 bis 9 Rhabdomeren. Weißt du wovon das abhängt? Gilt hier vielleicht auch das mehr Rhabdomeren auch mehr Sichtfeld bedeutet oder kommt mehr Sichtfeld durch mehr Ommatidium?

Ronald
Mikroskope:
Leitz Orthoplan (DL, AL-Fluoreszenz und Diskussionseinrichtung).
Leica/Wild M715 Stereomikroskop.
Mikrotom:
LKB 2218 Historange Rotationsmikrotom.

JB

Hallo Jürgen,

Sehr gelungene Schnitte, super! Gibt es in den Schnitten auch nach der Einbettung noch doppelbrechende Strukturen (Pol-Beleuchtung)?

Beste Gruesse,

Jon

Jürgen H.

Lieber Ronald,

Richtig, ZkNp bezeichnet den Zellkern und Npz die Nebenpigmentzelle des gleichen Zelltyps.

Insekten mit neun Rhabdomeren kenne ich nicht. Die Dipteren haben klassischerweise acht, nämlich sechs oftmals wie hier randständige R1-R6 und die R7 und R8 zentral untereinander liegend. Die R1 bis R6 geben das eigentliche Bild und dienen der Detektion der Bewegungen. Dabei sind bei den Dipteren regelmäßig jeweils sechs nebeneinanderliegende Ommatidien neural verschaltet. Im Ommatidium hat jedes Rhabdomer eine von seinen benachbarten Rhabdomeren leicht abweichende "Blickrichtung". Aber die "Blickrichtung" jedes Rhabdomers stimmt mit der Blickrichtung je eines anderen Rhabdomers von den benachbarten sechs Ommatidien überein. Die Rhabdomere mit gleicher Blickrichtung werden neuronal verschaltet.  Gegenüber dem fusionierten Rhabdom gibt das natürlich höhere Bildschärfe ohne Verlust an Helligkeit. Aber das hat jemand aus dem Forum schon hervorragend dargestellt ;-)
http://[url]http://www.mikroskopie-forum.de/index.php?topic=18958.0[/url]
Schon irre, mit welcher Präzision so ein neuronales Superpositionsauge ausgebildet ist.

R7 und R8 haben hingegen Sonderaufgaben. Bei Drosophila z.B. wird angenommen, dass R7 und R8 vor allem dem Farbensehen dienen. die R7 und R8 verschiedener Ommatidien sind nicht neuronal verschaltet. Ihre elektrischen Signale laufen auch in andere Gehirnbereiche, als R 1-6

Warum R7 und R8 bei den Simuliiden fehlt, ist unklar, wie Alfons schon schrieb. Vielleicht sind R7 und R8 einfach zur Detektion des Weibchens nicht erforderlich und deshalb verkümmert. Bei einer untersuchten Simuliidenart gibt es im Zentrum des Ommatidiums Reste, die Überbleibsel von R7 sein könnten. Andrerseits findet sich bei den Bibionidae (Haarmücken), die ganz ähnliche Doppelaugen und ein ganz ähnliches Paarungsverhalten haben, sehr wohl R7.

Man müsste mehr Zeit haben...

Schöne Grüße

Jürgen

Jürgen H.

Lieber Jon,

richtig, doppelbrechende Strukturen sind kaum noch zu sehen. Insbesondere die Formdoppelbrechung des chitinösen Materials ist fast vollständig verschwunden. Wie sind Sie auf Ihre Vermutung gekommen? Kennen Sie die Ursache?

Schöne Grüße

Jürgen

Fahrenheit

Lieber Jürgen,

ein sehr interessanter Beitrag mit phantastischen Präparaten und Bildern, den ich sehr genossen habe!
Besonders spannen finde ich die Sinneshaare zwischen den Zellen der Komplexaugen.
Wie die wohl intern verdrahtet sind? Sprich wie berechnet ein Insekt seine Lage im Raum und stabilisiert seinen Flug? - aus meiner Sicht eine immense Leistung bei den gegebenen "Hardware-Voraussetzungen".

Herzliche Grüße
Jörg
Hier geht's zur Vorstellung: Klick !
Und hier zur Webseite des MKB: Klick !

Arbeitsmikroskop: Leica DMLS
Zum Mitnehmen: Leitz SM
Für draussen: Leitz HM

JB

Zitat von: Jürgen H. in November 30, 2016, 09:40:41 VORMITTAG
richtig, doppelbrechende Strukturen sind kaum noch zu sehen. Insbesondere die Formdoppelbrechung des chitinösen Materials ist fast vollständig verschwunden.

Hallo,

Da sind so viele hochgeordnete Strukturen im Schnitt (Rhabdome, Kristallkoerper und Chitin), da hat mich interessiert, ob diese Strukturen die Verarbeitung und Einbettung ueberstehen koennen. Im Internet konnte ich keine Polbilder solcher Schnitte finden. Bei den Proteinen koennten die Strukturen zu stark danaturiert sein, aber fehlende Doppelbrechung an der Citicula erstaunt mich dann doch. Sind die Schnitte vielleicht zu perfekt und zu duenn  ;D

Beste Gruesse,

Jon

Jürgen H.

#13
Liebe Freunde der kleinen Lebewesen und Dinge.

Hier zeige ich noch ein Photo eines Sagittalschnitts durch den Kopf einer Kriebelmücke als Ergänzung zu den obigen Bildern. Meiner Frau fiel beim Anblick des Photos auf, welch großer Teil des Kopfes und des Gehirns dem Sehen dient. Einem sehr speziellen Sehen, kann man dazu nur ergänzen, des es geht um das Wichtigste im kurzen Leben der Imago des Mückenmännchens: Die Fortpflanzung zur Arterhaltung.

Der Schnitt liegt etwas neben der Mitte. Was die Region des Dorsalauges angeht, werdet ihr euch leicht aufgrund der Erklärungen oben zurecht finden. Vielleicht sind aber die weißen gebogenen  "Würmchen" unterhalb des Tracheentapetums einer besonderen Erwähnung wert. Hierauf komme ich beim nächsten Bild zurück.

Bei 1 mündet der Antennennerv ins Gehirn, in das Deuterocerebrum, dass für die Verarbeitung der  Sinneswahrnehmungen aus der Antenne zuständig ist. Dieser Teil des Gehirns ist aufgrund seiner knäuligen Struktur leicht zu erkennen. 3 zeigt dementsprechend ein Fitzelchen der angeschnittenen Antenne. 2 habe ich in den Hohlraum des Cibariums hineingeschrieben. Man kann ganz gut erkennen, dass dort rechts Muskulatur angreift, die diesen Hohlraum erweitern kann und so Nahrung ansaugen kann. Bei 4 haben die Sehstäbchen, die Rhabdomere die Richtung gewechselt, so dass dort Querschnitte durch die kreisrund angeordneten 6 Rhabdomere zu sehen sind. Im nächsten Bild finden sich entsprechende Querschnitte:






Fast ein Spitzendeckchen, oder? Feingeklöppelt....Es handelt sich aber um einen seitlichen Anschnitt eines Dorsalauges. Dementsprechend geht der Schnitt von rechts nach links ins Augeninnere hinein, in immer tiefer liegende Augenregionen: 1 bezeichnet die Linsen des Komplexauges, 2 die Reste des Kristallkörpers, 3 den Beginn der angeschnittenen 6 Rhabdomere direkt unter dem Kristallkörper, 4 die Kerne der Nebenpigmetzellen, die sich alle auf gleicher Höhe befinden und daher hier im Kreis um die Ommatidien erscheinen (siehe auch das vorletzte Bild in meinem ersten Beitrag in diesem Thread zum Vergleich). Bei 5 sind wir wieder etwas tiefer in der Ommatidienregion, und es hat den Anschein, als wäre da doch noch ein Rest eines siebten Rhabdomers verkümmert im Zentrum zwischen den 6 Rhabdomeren verblieben. Die Region rechts von 6 ist wahrscheinlich ein Bereich des Tracheentapetums. Bei 6 selbst befinden sich rings um die Rhadomere außen recht regelmäßig ebenfalls 6 weiße Flecken, wohl die Stelle, wo ich ungefärbte Nerven der Rhabdomere vermute. Sie dürften den weißen "Würmchen" aus dem ersten Bild entsprechen.

Das letzte Bild zeigt nun einen Querschnitt aus dem Ventralauge. Hier zeigt sich im Unterschied zum Dorsalauge das gewöhnlich bei den Dipteren vorkommende zentrale Rhabdomer:



Schöne Grüße

Jürgen

Jürgen H.

#14
Lieber Jörg,

vielen Dank noch für Deine Woret. Mich fesselt auch immer wieder, wie winzig diese Tierchen einerseits sind und zu welch riesigen Sinnes- und sonstigen Leistungen sie andrerseits trotz ihres verhältnismäßig kleinen Körpers fähig sind. Bei der Beobachtung in der Natur konnte ich kaum ausmachen, weshalb die Männchen im Schwarm urplötzlich nach oben schossen. Ein über dem Schwarm hinwegfliegendes Insekt konnte ich mit meinen Augen nur selten ausmachen. Und es geht ja nicht nur um das Erkennen des Objekts der Begierde. Das Männchen muss ja auch blitzschnell "kalkulieren", welche Flugrichtung das Weibchen hat und wie es deshalb seine eigenen Flügel bewegen, den eigenen Körper drehen muss, um das Weibchen zu ergattern.

Wie dazu noch einzelnen Sinneshaare "verdrahtet" sind? Es mag da vieles parallel geschaltet sein, aber offen gesagt weiß ich es nicht. Ich kann mir noch nicht einmal vorstellen, wie all die Sinneseindrücke mit den paar Neuronen des Gehirns von mehr gefühlt als geschätzt einem Viertel Kubikzentimeter (edit:natürlich Kubikmillimeter)Volumen die Eindrücke verarbeitet werden können  und das Tierchen zu sinnvolle Reaktionen  veranlassen können...

Der Versuch einer halbwegs wissenschaftlichen  Betrachtung ist hier das eine, das Staunen über die Natur das aber andere, was mich an den Mikrobetrachtungen reizt.

Schöne Grüße

Jürgen