Botanik: Gewöhnliche Buchsbaum Buxus sempervirens *

Begonnen von Hans-Jürgen Koch, Juni 23, 2019, 10:02:58 VORMITTAG

Vorheriges Thema - Nächstes Thema

Hans-Jürgen Koch

Liebe Pflanzenfreunde,

der Gewöhnliche Buchsbaum (Buxus sempervirens), auch nur Buchsbaum oder Buchs genannt, ist eine Pflanzenart aus der Gattung der Buchsbäume (Buxus). Er ist in Südwesteuropa, Mitteleuropa, Nordafrika und Westasien heimisch.

Bild 01 Buxus sempervirens

Quelle: © Hans Hillewaert / CC BY-SA 4.0
Dieses Werk ist gemeinfrei.

Systematik:
Ordnung: Buchsbaumartige (Buxales)
Familie: Buchsbaumgewächse (Buxaceae)
Gattung: Buchsbäume (Buxus)
Art: Gewöhnlicher Buchsbaum
Wissenschaftlicher Name: Buxus sempervirens
Trivialname:
Buchs, Bosbaum, Bossebaum, Poxbaum, Puchsbaum   (mittelhochdeutsch), Boyschebaum, Buchs (Graubünden), Buchsboum,  Puhs (althochdeutsch), Buschbom (Altmark, Mecklenburg, Pommern), Bussbom (Mecklenburg, Ostfriesland), Buxbaum, Palm (Eifel, Ostfriesland, Schweiz), Palmenberg (Eifel), Pikesbum (Siebenbürgen), Katzepissbäumche (Westerwald).
Englische Bezeichnung: boxwood

Der Name stammt möglicherweise von lateinisch buxus, dessen Ursprung im griechischen pyxos vermutet wird, dem von Theophrast (Theophrastos von Eresos, deutsch auch Theophrast, war ein griechischer Philosoph und Naturforscher) verwendeten Namen für eine Pflanze, die man später als Buchsbaum interpretierte. Theophrast war in seiner Beschreibung nicht eindeutig, und seine Manuskripte sind verloren gegangen.
Das schwere Buchsbaumholz wird bis heute in der Drechslerei geschätzt, und bereits der altrömische Schriftsteller Plinius berichtete, dass aus dem Holz des Buchsbaums Dosen und Kästchen gefertigt wurden. Man vermutet daher, dass sich aus pyxis die Bezeichnungen Büchse, box (englisch) und boîte (französisch) entwickelten.

Bild 02 Illustration

Dieses Werk ist gemeinfrei.
Quelle: www.biolib.de
Prof. Dr. Otto Wilhelm Thomé Flora von Deutschland, Österreich und der Schweiz 1885, Gera, Germany

Eine wichtige Rolle spielte und spielt der Buchsbaum in der gestaltenden Gartenkunst. Hier setzt er dekorative und stimmungsvolle Akzente. Bereits bei den Griechen war er bekannt. Mit Buchsbaumhecken rahmten schon die Römer ihre Gartenbeete ein. In den von ihnen eroberten Gebieten, pflegten die Römer diese Art der Gartenstaltung fort.
Seit dem 13. Jahrhundert ist der Anbau des Buchsbaums in Deutschland dokumentiert. In Versailles kam der ganz große Auftritt des Buxus sempervirens.

Beeteinfassung für das sagenhafte Schloss Versailles


Der Hofgärtner von Heinrich IV., Claude Mollet, entdeckte diesen vielversprechenden aufgehenden Stern am Gartenhimmel. Er führte die wintergrüne und -harte Pflanze als Beeteinfassung für das sagenhafte Schloss Versailles ein. Davor diente diese schöne Pflanze lediglich als Hintergrundbepflanzung. Die vorher aus dem klimatisch milderen Italien übernommenen Zypressen zeigten nicht die erforderliche Winterhärte. Als typisches Element gelten die geschnittenen und niedrigen Buchsbäume in den italienischen und französischen Schlossgärten der Renaissance. Auch in Mitteleuropa kamen sie zunehmend in Mode. Wohlhabende Bauern und Bürger ahmten diese Art der dekorativen Gartengestaltung nach. Auf diese Weise entstanden die traditionellen Bauerngärten. Sie weisen bis heute die unentbehrlichen Buchsbaumeinfassungen auf.
Bild 03 Buxus sempervirens, Blütenknäuel, in der Mitte eine weibliche Blüte, darunter mehrere männliche.


Der Buchsbaum ist einhäusig getrenntgeschlechtig (monözisch). Von März bis Mai erscheinen in den Blattachseln unscheinbare, gelbliche, wohlriechende Blütenknäuel. Jeder Knäuel besteht in der Regel aus einer endständigen weiblichen Blüte und mehreren seitenständigen männlichen Blüten. Eine Blütenkrone fehlt, vorhanden sind lediglich mehrere sehr kleine Hüll- und Kelchblätter. Die weiblichen Blüten haben drei Griffel, jeweils mit einer zweigeteilten Narbe, die männlichen Blüten jeweils vier Staubblätter.
Im September spalten sich die etwa 8 Millimeter langen, dreiklappigen Kapselfrüchte und streuen je zwei schwarze, glänzende Samen.
Buchs ist durch den Gehalt am Alkaloid Cyclobuxin in allen Teilen gtftig.
Vergiftungserscheinungen äußern sich durch Übelkeit, Erbrechen, Schwindel, Durchfall und Krämpfen.

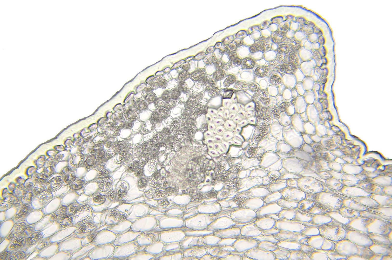
Spross, Querschnitt, 25 µm

Zunächst einmal 5 Bilder von ungefärbten Schnitten.

Bild 04 Übersicht, Buxus sempervirens

Der junge Spross zeigt etliche Trichome.

Bild 05 Vergrößerung, Buxus sempervirens


Bild 06 Vergrößerung, Buxus sempervirens


Bild 07 Vergrößerung, Buxus sempervirens


Bild 08 Vergrößerung, Buxus sempervirens

Trichome sind Anhangsgebilde der Epidermis, die durch Auswucherungen einzelner Epidermiszellen entstanden sind. Die Haare sind mit dem unteren Teil, dem Fuß, in der Epidermis verankert. Den über sie Epidermis hinausragenden Teil bezeichnet man als Schaft.

Bild 09 Autofluoreszenz, Buxus sempervirens

Auflichtbeleuchtung Fluoreszenz iLED 455 nm
LED Modul 455 nm
Reflektormodul FL mit Filtersatz 67
Erregerfilter: BP 470 nm
Strahlenteiler: FT 477 nm
Emission (Sperrfilter): LP 485

Bild 10 Autofluoreszenz, Buxus sempervirens


W-3A-Färbung nach Wacker (Acridinrot-Acriflavin-Astrablau) modifiziert

Arbeitsablauf :
1. Probe liegt in 30 % Ethanol.
2. Aqua dest. 3x wechseln je 1 Minute.
3. Vorfärbung Acridinrotlösung 8 Min.
4. 1x auswaschen mit Aqua dest. .
5. Acriflavinlösung (differenzieren bis gerade keine Farbwolken mehr abgehen - Lupenkontrolle) ca. 15 Sekunden !!!.
6. 2 x auswaschen mit Aqua dest..
7. Nachfärbung Astrablaulösung 2 Minute.
Bei der Nachfärbung mit Astrablau eine Mischung aus Astrablau und Acriflavin im Verhältnis 4 : 1 verwendet (blau + gelb = grün).
Tipp: Eine schöne Variante erhält man, wenn man in der letzten Färbestufe eine Mischung aus
Astrablau und Acriflavin im Verhältnis 3:1 verwendet. (3 Tropfen Astrablau und 1 Tropfen Acriflavin separat ansetzen und Gemisch mit der Pipette übertragen
8. Auswaschen mit Aqua dest. bis keine Farbstoffreste auf dem Objektträger verbleiben.
9. Entwässern mit 2x gewechseltem Isopropylalkohol ( 99,9 % )
10. Einschluss in Euparal.
Ergebnis :
Zellwände blaugrün bis grün, verholzte Zellwände leuchtend rot, Zellwände der äußeren Hypodermis orangerot, Cuticula gelb, Zellwände der innenliegenden Hypodermis tiefrot.
Fotos: Nikon D5000.

Bild 11 Übersicht, Buxus sempervirens

Auffällig ist der Sklerenchymstrang in jeder der 4 Hörnchenspitzen, der sich an den Blatträndern fortsetzt.

Bild 12 Übersicht mit dunklem Hintergrund, Buxus sempervirens


Bild 13 Übersicht, Negativ, Buxus sempervirens


Bild 14 Vergrößerung, Buxus sempervirens


Bild 15 Vergrößerung, Buxus sempervirens

Bei diesem Bild habe ich die Beleuchtung vom Mikroskop etwas gedrosselt, um die kleinen Trichome besser erkennen zu können.

Bild 16 Vergrößerung mit Beschriftung, Buxus sempervirens

XY = Xylem, PH = Phloem, K = Kambium, RP = Rindenparenchym, SK = Sklerenchym, CU = Cuticula, EP = Epidermis, der rote Kreis zeigt ein Leitbündel von einem Blattansatz.
Die Cuticula ist eine aufgelagerte Schicht, die die äußere Zellwand der Epidermis wasserundurchlässig macht.
Aus dem Kambium entsteht natürlich ständig neues Phloem.

Bild 17 Vergrößerung, Buxus sempervirens


Bild 18 Auflicht – Fluoreszenzaufnahme, Buxus sempervirens

Auflichtbeleuchtung Fluoreszenz iLED 455 nm
LED Modul 455 nm
Reflektormodul FL mit Filtersatz 67
Erregerfilter: BP 470 nm
Strahlenteiler: FT 477 nm
Emission (Sperrfilter): LP 485

Bild 19 Auflicht – Fluoreszenzaufnahme, Buxus sempervirens


Bild 20 Auflicht – Fluoreszenzaufnahme, Buxus sempervirens



Plants are the true rulers - Pflanzen sind die wahren Herrscher.

<a href="http://www.mikroskopie-forum.de/index.php?topic=2650.0" target="_blank">Hier geht es zur Vorstellung</a>

Gerne per "Du"

Hans-Jürgen Koch

#1
Spross, Längsschnitt, 25 µm

Bei den Längsschnitten haben mich die Blattachsen interessiert.


W-3A-Färbung nach Wacker (Acridinrot-Acriflavin-Astrablau)

Bild 21 Übersicht, Buxus sempervirens


Bild 22 Vergrößerung, Buxus sempervirens


Bild 23 Übersicht, Buxus sempervirens


Bild 24 Periderm, Auflicht – Fluoreszenzaufnahme, Buxus sempervirens


Auflichtbeleuchtung Fluoreszenz iLED 455 nm
LED Modul 455 nm
Reflektormodul FL mit Filtersatz 67
Erregerfilter: BP 470 nm
Strahlenteiler: FT 477 nm
Emission (Sperrfilter): LP 485

Quellen und weiterführende Informationen:

Wikipedia
,,Das Taschenlexikon der Gehölze", ISBN: 978-3-494-01448-7

Die Informationen für Beschreibungen werden von mir selbst aus verschiedenen Quellen zusammengetragen. Dabei benutze ich sowohl Bücher als auch Internet Quelle. Texte werden anschließend individuell von mir selbst verfasst.
Für konstruktive Kritik bin ich ebenso offen wie für lobende Worte.
Doch zunächst einmal wünsche ich viel Freude beim Lesen.

Hans-Jürgen
Plants are the true rulers - Pflanzen sind die wahren Herrscher.

<a href="http://www.mikroskopie-forum.de/index.php?topic=2650.0" target="_blank">Hier geht es zur Vorstellung</a>

Gerne per "Du"

Wutsdorff Peter

Grüß´dich Hans-Jürgen,
wieder ein klassischer  "Hans-Jürgen".
Eine   tolle Dokumentation!  Gratulation! Mir gefallen besonders die DF-Aufnahmen.
Beeindruckt haben mich auch die verschieden Bezeichnungen in den verschiedenen Gegenden.
Hast Du die aus dem "Kluge-Götz: Ethymolog. Lexikon" ?
Voller Bewunderung grüßt Dich wieder einmal
   Peter

Hans-Jürgen Koch

Hallo Peter,

danke für Dein Interesse an meiner Arbeit.
Bei den Bildern 5, 12, 13 und 22 habe ich nur den Hintergrund geschwärzt, es sind keine Dunkelfeldaufnahmen.
Die unterschiedlichen Trivialnamen der Pflanze sind aus dem Internet (Wikipedia).

Gruß

Hans- Jürgen


Plants are the true rulers - Pflanzen sind die wahren Herrscher.

<a href="http://www.mikroskopie-forum.de/index.php?topic=2650.0" target="_blank">Hier geht es zur Vorstellung</a>

Gerne per "Du"

Wutsdorff Peter

Hallo Hans-Jürgen,
hier zwei Quellen:
1) Brockhaus Enzykl. 30 Bde. Bd. 4, S. 810


Kluge:




Da ich einen neuen PC habe mit WIN 10, weiß ich nicht ob alles funktioniert hat.
Gruß Peter

Hans-Jürgen Koch

Hallo Peter,

danke für den Quellenhinweis.

Gruß

Hans-Jürgen
Plants are the true rulers - Pflanzen sind die wahren Herrscher.

<a href="http://www.mikroskopie-forum.de/index.php?topic=2650.0" target="_blank">Hier geht es zur Vorstellung</a>

Gerne per "Du"

JM

Hallo Hans-Jürgen,
wieder einmal eine Dokumentation, bei der eine Tasse Kaffee nicht ausreicht. Danke dafür. Eine Frage habe ich zu Bild 16. Dort zeigst du im roten Kreis einen Leitbündel, welcher zu einem Blatt führen soll. Was mich verwundert. Der Leitbündel verläuft senkrecht zur Sprossachse. Wo findet die ,,waagrechtfürung" zur Epidermis (und damit zum Blatt), bzw. zu den Leitgefäßen der Sprossachse statt? Im Bild 16 sind in allen vier Ecken diese ,,Leitbündel" zu beobachten. Das würde heißen, dass vier Blätter wie in einer Rosette in gleicher Höhe stehen. Dies ist bei Buchs aber meiner Meinung nach nicht der Fall. Interessant. Vielleicht hat ja jemand eine Idee.

Beste Grüße und vielen Dank fürs Zeigen

Jan

Hans-Jürgen Koch

Hallo Jan,

zuerst einmal danke für Dein lob.

Jörg hat im Januar 2010 einen tollen Bericht vom Buchsbaum erstellt.
https://www.mikroskopie-forum.de/index.php?topic=4642.0
Er schreibt:
,,Bei den Leitbündeln in den "Hörnchen" handelt es sich somit wohl um die Blattspuren des weiter oben ansitzenden Blattpaares.
Auffällig ist der Sklerenchymstrang in jeder der 4 Hörnchenspitzen, der sich an den Blatträndern fortsetzt. Bei diesem handelt es sich nicht um eine Leitbündelkappe, zu einen, weil die Lage zum darunterliegenden Leitbündel nicht passt (der Strang sitzt neben dem Leitbündel, nicht oberhalb des Phloems) und zum anderen, weil es auch vorkommen kann, dass zwei Leitbündel in einem "Hörnchen" liegen, jedoch keine zwei Sklerenchymstränge vorhanden sind".
Vielleicht hat ja jemand eine Idee.

Gruß
Hans-Jürgen
Plants are the true rulers - Pflanzen sind die wahren Herrscher.

<a href="http://www.mikroskopie-forum.de/index.php?topic=2650.0" target="_blank">Hier geht es zur Vorstellung</a>

Gerne per "Du"

kare

Hallo Hans-Jürgen,

das sind sehr schöne Schnitte und mit gelungener Färbung - klare Farben und Details!
Danke fürs zeigen und diesen ausführlichen Beitrag.

Viele Grüße,
Karl

Hans-Jürgen Koch

Hallo Karl.

auch Dir danke für Dein Feedback.

Gruß

Hans-Jürgen
Plants are the true rulers - Pflanzen sind die wahren Herrscher.

<a href="http://www.mikroskopie-forum.de/index.php?topic=2650.0" target="_blank">Hier geht es zur Vorstellung</a>

Gerne per "Du"

mikropit

Wieder einmal eine klasse Dokumentation und wie immer sehr informativ. Nachdem wir ca. 100 Buchse im Garten haben (alle von meiner Frau aus einem gezogen) und Dank eines biologischen Spritzmittels alle toll dastehen, besonders interessant.
vG Peter
in Erwartung Deiner nächsten Präsentation. Bin schon gespannt
mikropit

Hans-Jürgen Koch

Hallo Peter,
danke.

Der Buchsbaum ist leider auch sehr anfällig für Schädlinge und Krankheiten, die man zum Teil kaum in den Griff bekommt.
Beim Buchsbaumzünsler (Glyphodes perspectalis) handelt es sich wohl um den häufigsten und gefürchtetsten Schädling. Die jungen Raupen des Zünslers sind acht Millimeter lang und erreichen bis zur Verpuppung etwa fünf Zentimeter Länge. Sie besitzen einen grünen Leib mit hell-dunklen Rückenstreifen sowie einen schwarzen Kopf.


Urheber: Wim Rubers at waarneming.nl, a source of nature observations in the Netherlands.

Die ausgewachsenen Falter sind mit ausgespreizten Flügeln circa 40 Millimeter breit und 25 Millimeter lang. Die hellen Flügel haben meistens einen charakteristisch braunen Rand.
Der Schmetterling, welcher selbst nur wenige Tage lebt, ist eher auf benachbarten Pflanzen zu finden. Die Raupen leben im Kroneninneren der Buchsbäume und bilden dort charakteristische Gespinste aus. Je nach Witterung fressen überwinternde Raupen ab Mitte März an den Blättern.

Während ihrer Entwicklung vertilgt eine Raupe circa 45 Blätter.

Nach den Blättern nagen sie auch die grüne Rinde der Triebe bis auf das Holz ab, weswegen die darüber befindlichen Triebteile eintrocknen und absterben. Die abgefressenen Blattrippen bleiben meist stehen.

Die Bekämpfung des Buchsbaumzünslers ist schwierig und erfordert ein gutes Timing, denn die Raupen lassen sich nur zu bestimmten Zeiten mit biologischen Präparaten wie zum Beispiel XenTari, das als Wirkstoff ein schmarotzendes Bakterium namens Bacillus thuringiensis enthält, erfolgreich bekämpfen.
Mechanische Methoden wie zum Beispiel das Durchblasen des Buchsbaums mit einem Hochdruckreiniger kann den Befall ebenfalls deutlich reduzieren.

Mit freundlichem Gruß

Hans-Jürgen

Plants are the true rulers - Pflanzen sind die wahren Herrscher.

<a href="http://www.mikroskopie-forum.de/index.php?topic=2650.0" target="_blank">Hier geht es zur Vorstellung</a>

Gerne per "Du"

Mikroman

Hallo,

ja, der Buxus Sempervirens. Letztes Jahr hatten wir bei unserem Bux (2-3m hoch; Umfang 4m) einen starken Befall. Meine Frau gab ihn schon verloren. Wir haben vieles versucht. Geholfen hat u.a., dass wir jeden Tag die befallenen Stellen mechanisch beseitigt (und dann verbrannt haben). Klassische Insektensprays hatten auch Wirkung. Einen durchschlagenden Effekt brachte ein Rezept aus dem WWW: Tabakdose für Selbstdreher in einen Eimer geben; heißes Wasser drüber, dann etwas Spülmittel und Brennspiritus; zwei Tage stehen lassen, abseihen und mit einem Druckluftsprühgerat mehrfach auftragen. Der Bux stinkt dann wie ein "Tabakbaum" - die Zünsler gehen ein und vor allen Dingen - es gibt auch keine neue Populationen mehr. Heute ist er zünslerfrei.

Gruß
Peter
Zu sehr auf sich selbst zu beharren,
ist ein unvernünftiges Vergeuden der Weltsubstanz (Juarroz, 9. Vertikale Poesie,1)

reblaus

Hallo -

wenn der thread schon in die Schädlingsbekämpfung abgeglitten ist erlaube ich mir halt auch mal eine Frage:

Obwohl ich recht skeptisch war 1),  habe ich dieses Jahr mal versuchweise im Frühjahr meine größeren Buxe mit Bacillus thuringiensis-Präparaten behandelt und tatsächlich bislang noch keine Zünsler oder -Schäden beobachet. Kann Zufall sein - deshalb die Frage nach ähnlichen Erfahrungen!

Viele Grüße

Rolf

1) normalerweise handle ich (wenn es meine Frau erlaubt) auch nach dem alten schwäbischen Motto: "Herr Pfarrer, do hilft Betta nix, do muass Mischt (bzw. Gift) na!"

mikropit

Ja, das hat bei uns seit mehreren Jahren sehr gut funktioniert.. Einen Buchs hatte ich letztes Jahr beim Spritzen übersehen. Dieser wurde stark befallen. Da dies ein biologisches Mittel ist, bin ich sehr begeistert. Zudem ist das Mittel recht ergiebig.
VG Petetr
mikropit