Hauptmenü

Mücke (?) , Tracheen, Abdomen

Begonnen von Bernhard Lebeda, Dezember 22, 2009, 14:18:28 NACHMITTAGS

Vorheriges Thema - Nächstes Thema

Klaus Herrmann

Hallo Manfred,

ZitatFrage ? Tut es für die Mikroskopie Zeitschriften geben Welche z,b.

Na sicher tut es Zeitschriften geben für die Mikroskopie.

Wenn Du mal ganz oben rechts auf der Seite hier schauen tust, dann steht da Mikrokosmos
Da tu mal draufklicken, dann kommst Du zur wichtigsten deutschsprachigen Zeitschrift für Mikroskopie. Das Bestellen geht ganz einfach! ;)

Und es lohnt sich!
Mit herzlichen Mikrogrüßen

Klaus


ich ziehe das freundschaftliche "Du" vor! ∞ λ ¼


Vorstellung: hier klicken

Fahrenheit

Lieber Manfred,

nach dem Tod beginnt auch bei kleinen Insekten quasi sofort die Verwesung, das heißt, die organischen Substanzen zersetzen sich langsam bzw. werden durch die allgegenwärtigen Mikroorganismen abgebaut und somit verlieren die Organe und Muskeln etc. mehr und mehr ihre Struktur.
Durch das stabile Aussensklett (Chitinpanzer) fällt das allerdings nicht sofort ins Auge.
Eine Fixierung stoppt diesen Prozess.

Zu Deinen Fragen zur Präparation:

Als einfache Fixierflüssigkeit kannst Du AFE nutzen (Ethanol 70%, Formaldehyd 35% und Essigsäure 99% im Volumenverhältnis 90:5:5). Formaldehydlösung ist jedoch gesundheitsschädlich. Falls Du sie mit Deinem Sohn nicht verwenden möchtest, reicht auch eine einfache Fixierung in Ethanol (70%, vergällter Alkohol reicht völlig aus).
In beiden Flüssigkeiten kann man die Insekten auch einige Zeit aufbewahren.
Wenn Histologische Schnitte mit einem Mikrotom angefertigt erden sollen, gibt es geeignetere Fixierungslösungen - aber ich glaube, dass ist erst mal nicht Deine Absicht.

Wenn ich kleine Insekten zerlegen möchte (abtrennen der Gliedmassen und Flügel etc.), dann nutze ich dazu einen feinen Pinsel (Größe 000) zum Halten und die kleinstmögliche Einwegkanüle zum Schneiden. Von der Kanüle habe ich mit einem Seitenschneider (Achtung, Kanülenspitze festhalten, da diese sonst unkontrolliert durch den Raum fliegt!) den Kunststoffadapter abgetrennt und die Spitze dann in einen Lanzetthalter eingespannt, um einen längeren Griff zu haben.
Die Kanülen gibt es für wenige Cent beim Apotheker, der Lanzetthalter für Wechselspitzen wird manchmal noch im Laborzubehör angeboten. Hier tut es aber auch eine kleine 1 mml Einwegspritze, auf die Du die Kanüle ohne die Aktion mit dem Seitenschneider einfach aufstecken kannst.

Hier noch einige Beispiele aus dem Forum:
http://www.mikroskopie-forum.de/index.php?topic=869.0
http://www.mikroskopie-forum.de/index.php?topic=3145.0
http://www.mikroskopie-forum.de/index.php?topic=1568.0
http://www.mikroskopie-forum.de/index.php?topic=1380.0

Herzliche Grüße
Jörg
Hier geht's zur Vorstellung: Klick !
Und hier zur Webseite des MKB: Klick !

Arbeitsmikroskop: Leica DMLS
Zum Mitnehmen: Leitz SM
Für draussen: Leitz HM

Manfred2


      Hallo zusammen

      Bedanke mich im Voraus für die Hilfe für den Zeitschrieft link und Antwort zu den Fragen die Ich gestellt habe.möchte natürlich nicht gleich mit gefärlichen gesundheitschädlichen sachen anfangen.

       Mit Gruß Manfred
     

Jürgen H.

Hallo Bernhard,

ganz fantastische Photos! Beim letzten Photo der Genitalien scheinen wohl in der Ebene unter den Parameren die Cerci als rundliche Gebilde durch, deren Funktion in diesem Fall mir noch nicht ganz klar ist. Könntest Du vielleicht einmal die Ebene darunter abbilden, so gut es geht? Es würde mich sehr interessieren, wie es von außen aussieht.

Bei den drei Photos davor befindet sich offenbar noch ein schlauchförmiges unscharf abgebildetes Etwas zwischen den beiden Haupttracheen. Hast Du die Dorsalseite abgebildet?

Beeindruckte Mikrogrüße

Jürgen




Jürgen H.

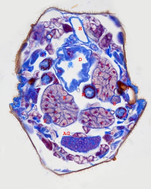
Und hier kommt noch eine Ergänzung zu Bernhards tollen Photos: Zwei Querschnitte, eingebettet über Iso und Butanol N in Paraffin in der von mir bereits beschriebenen Methode, Schnittdicke ca. 8 µ, gefärbt mit Azan Geidies, Rezept nach Armin Eisner auf dessen wunderbarer Methodenseite. Nikon Coolpix durchs Okular. 40er Objektiv,



H= Herz
T= Trachee
M= Malephigischen Gefäße
S= Samenleiter, paarig
VD= Ventrales Diaphragma
AG=Abdominalganglion mit Perikarien
N=Paariger Nerv

MIkrogrüße

Jürgen


Ralf Feller

Hallo Jürgen,
Deine Buthanolmethode gefällt mir immer besser, besonders weil ich gerade mit zu harten Schnitten kämpfe. Ist das auch wieder eine Stelzmücke? Du hast mir mal geschrieben, dass Du einen Babywärmer zum Einbetten nimmst. Macht denn so ein Gerät 70°C?

Gruß Ralf

Jürgen H.

Hallo Ralf,

Nach den Flügeladern zu urteilen müsste auch das wieder eine Stelzmücke sein.

Auf 70 Grad komme ich nicht. Ich benutze das Paraffin der Firma Leica. Das ist ein Paraffin mit Beimischungen. Dieses Paraffin darf nicht über 62 Grad erhitzt werden. Da kommt der Babywärmer gut dran. Ein Problem des Babywärmers könnte die Temperaturdifferenz zwischen der Einschalt- und der Ausschalttemperatur sein. Da komme ich auf etwa 5 Grad: Etwa zwischen 57 und 62 Grad. Das ist auch exakt der Bereich, in dem das Paraffin flüssig bleibt. Ob die weite Spanne schädlich ist, weiß ich nicht, auch nicht, ob es Wärmer mit kleinerer Differenz gibt als meiner der Fa. Petra, wohl aber, dass es welche mit größerer gibt, weil ich die Gelegenheit hatte, einen anderen zu testen. 

Gruß Jürgen

P.S. Dein neuer Bericht aus Indien hat mich sehr beeindruckt und nachdenklich gemacht.

Ralf Feller

Lieber Jürgen,
danke für den Kommentar zu Indien, dort und in Afrika habe
ich die Bedeutung von dem Kleingetier erfahren was wir da
unter dem Mikroskop haben. Deswegen dachte ich es währe
vielleicht interessant.

Wichtiger ist mir aber meine histologische Technik zu verbessern.
Die Dinge die Ronald zeigt sind doch klasse!
Ich verwende Paraplast mit einem Schmelzpunkt von 58°C,
daher scheint mir Dein Babywärmer nicht ausreichend zu sein.
Ich habe mal ein Foto von dem Ungetüm beigefügt, welches
ich bisher verwende.



Das Ding ist wegen des Rührmotors sehr laut und das Wasser
will nicht so recht zum wasserfreien Arbeiten passen.
Außerdem bildet sich beim ausgießen der Röhrchen immer
oben ein Pfropf aus erstarrtem Paraffin. Vielleicht sollte man
sich so eine Heizplatte wie Ronald sie kürzlich gezeigt hat kaufen?
Man müsste dann aber wohl Metallschälchen verwenden
und ich weiß nicht wie groß der Wärmeverlust ist, denn das
Gerät schafft ja ,,nur" 70°C. Ob eine Kassetteneinbettung
für Insekten möglich ist, weiß ich nicht. Man müsste des
Insekt ja auf dem Kopf in die Kassette stellen?

Viele Grüße, Ralf



Jürgen H.

Hallo Ralf,

Du meinst die Heizplatte von Ronald hier:

http://cgi.ebay.nl/LABOR-PRAXIS-HEIZPLATTE-WARMEPLATTE-SLIDE-WARMER-ZF6_W0QQitemZ170420538744QQihZ007QQcategoryZ70333QQcmdZViewItemQQ_trksidZp4340.m444QQ_trkparmsZalgo%3DCRX%26its%3DC%252BS%26itu%3DSI%252BUA%252BLM%252BLA%26otn%3D5%26ps%3D63

Laut Beschreibung hat sie eine Temperaturdifferenz von + /- 2 Grad. Das ist beachtlich. Zumal es ja weniger auf eine Differenz zur angezeigten Temperatur ankommt, als auf eine gleichmäßige Temperatur. Offensichtlich, wenn man sich Ronalds Ergebnisse ansieht, ist es ja hervorragend geeignet. Und ein Wasserbad brauchst Du auch nicht mehr. Als Strecktisch kannst Du es gleich mitbenutzen.

Warum sollte 70 Grad nicht reichen? Bei Ronald reicht es ja offensichtlich auch. Sogar mein Babyfläschenwärmer tut es ja  schon, wobei die Wärme von allen Seiten auf mein Gläschen einwirkt, so dass ich keinen Rührer brauche. Ich würde eh immer nur bis knapp über den Schmelzpunkt des Paraffins gehen. Eben habe ich sogar den Schmelzpunkt des Paraffins irrtümlich angegeben, er beträgt nur 54 - 56 Grad. Wobei Dein etwas höherer Schmelzpunkt für unser Chitin vermutlich geeigneter sein dürfte. Welches Paraplast benutzt Du? Roth? Mit 60- 62 Grad müsstest Du doch locker hinkommen...

Eine Kassetteneinbettung habe ich bisher noch nicht versucht. Die Dingerchen sind ja nun eine ganze 10er Potenz kleiner als Ronalds Mäuschen. Die Kassetten hätten immerhin den Vorteil, dass man sie schnell von einem ins andere Bad transportieren könnte. Das ist bei mir immer noch ein gewisses Problem.

Ich kann mir durchaus  vorstellen, dass man die Mücken liegend einbetten kann. Letztlich mache ich das im Augenblick nicht anders, wenn ich sie in meine Stanniolkästchen einlege. Dort sinken sie auch bis fast auf den Grund. Man müsste dann allerdings nicht den Einbettrahmen verwenden, sondern das Blöckchen vollständig herauslösen und auf ein Holzklötzchen aufschmelzen, wenn man sie quer schneiden will.

In welcher Schnittstärke schneidest Du denn?

Schöne Grüße

Jürgen



Ralf Feller

Lieber Jürgen,
ich nehme das Paraplast Plus, 56°C von Roth weil ich glaube, je härter das Paraffin, desto dünner der Schnitt. Habe nie etwas anderes ausprobiert, vielleicht irre ich mich ja? Ich schneide so dünn wie möglich, meist 6µ, wenn es geht dünner, wenn nötig dicker. Das Auslösen des Paraffinblockes aus den fertigen Formen halte ich für problematisch. Ich habe einige dieser Blöcke. Die sind nur wenige mm hoch, lassen sich übrigens auch ohne Kassettenhalter schneiden.

Gruß Ralf