Löwenzahnwurzel-Hals Taraxacum officinale

Begonnen von Klaus Herrmann, Mai 19, 2010, 12:55:09 NACHMITTAGS

Vorheriges Thema - Nächstes Thema

Klaus Herrmann

Hallo KuhblumenfreundInnen,

wie schon angekündigt ein paar erste Bilder aus einer Schnittserie, die Heinz Streble mit uns vor 2 Jahren gemacht hat.
Das Besondere ist hier, dass die Wurzel im Februar ausgegraben wurde um den Zustand zu erhalten bevor der Löwenzahn treibt und innerhalb weniger Tage blüht um gleich danach als Pusteblume für reichliche Vermehrung zu sorgen.

Der Trick den auch die Gänseblümchen anwenden liegt darin, dass in einer Region von etwa 2 cm die gesamte Anlage Blüte, Stängel und Blattrosette vorbereitet ist um innerhalb weniger Tage sich voll zu entwickeln. Der Wettlauf gegen die Kühe, die bei gemächlichem Wachstum alles abfressen würden, bevor....Pusteblume ihrer Bestimmung nachkommen konnte ;)
Bedeutet: das nachzuvollziehen ist für dieses Jahr zu spät - man muss im Februar buddeln.

Ich beginne mit einem Schnitt, der unter dieser Zone liegt, er sollte dadurch Ähnlichkeit mit Jörgs schöner "Forschungsserie" haben, durch die ich erst angeregt wurde die Schnitte rauszusuchen. Aus diesem Bereich habe ich noch Handschnitte in Isopropanol, die ich zur K 7 mitbringen kann.

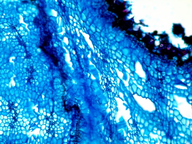
Hier sieht man einen Schnitt bei dem eine Seitenwurzel abgeht. Ich habe z. T. etwas Pol benutzt um den Kontrast zu erhöhen. Hier ist kaum was verholzt, deshalb herrscht Blau vor.

Erst Übersichtsbilder am Stemi, der Durchmesser beträgt etwa 7,7 mm. Wenn jemand putzen will gerne. Bei den schwachen Vergrößerungen sieht man allen Schmutz der Welt!

















Mit herzlichen Mikrogrüßen

Klaus


ich ziehe das freundschaftliche "Du" vor! ∞ λ ¼


Vorstellung: hier klicken

Detlef Kramer

Lieber Klaus,

sehr schön und auf jeden Fall ein ganz anderes Stadium, als das, was Jörg uns gezeigt hat. Schließ die Schnitte ein und bring sie mit! Das letzte Foto zeigt auf jeden Fall ein klassisches Periderm. Woraus es entstanden ist, kann ich an Hand der Fotos noch nicht erkennen.

Der Löwenzahn hat, genau wie die Petersilie und andere zweijährige Pflanzen noch einen anderen Trick, um dem Kuhfraß zu entgehen: die sog. Zugwurzel. Der Samen geht an der Erdoberfläche auf und die Spross-Basis ist demnach bodengleich. Die Wurzel wächst nun so, dass sie sich gewissermaßen zusammen zieht, erkennt man an den Wülsten. Dadurch wird die Sprossbasis unter die Oberfläche gezogen und ist somit vor den Kuh- Schaf-, Ziegenzähnen und dem Rasenmäher geschützt. Selbst wenn der Blütenspross abgefressen/-schnitten wird, kann sich ein Neuer aus dem gestauchten Spross bilden.

Herzliche Grüße

Detlef
Dr. Detlef Kramer, gerne per DU

Vorstellung: Hier klicken

Fahrenheit

Lieber Klaus,

danke für Deine schönen Bilder!

Ja, das schaut anders aus. Hier ist das Abschlussgewebe ordentlich zerklüftet, wie bei Keil beschrieben. Das ist bei meiner Wurzel noch nicht zu beobachten.

Die Färbung ist Etzold FCA? Bei Deinem Schnitt sind die Tracheen noch nicht rot - also noch nicht verholzt. Damit würde ich schließen, dass Deine Pflanze jünger war als meine. So ganz bekomme ich das aber noch immer nicht übereinander. Reißen sollte ja das Phellem bei der vergleichsweise älteren Pflanze.

Nun bin ich aber gespannt auch den Instant-Spross des Löwenzahns.
;D

Herzliche Grüße
Jörg
Hier geht's zur Vorstellung: Klick !
Und hier zur Webseite des MKB: Klick !

Arbeitsmikroskop: Leica DMLS
Zum Mitnehmen: Leitz SM
Für draussen: Leitz HM