HISTOLOGIE: PAS Färbung im Dickdarm Maus (Technovit 7100 Schnitt)

Begonnen von Ronald Schulte, April 20, 2011, 22:05:50 NACHMITTAGS

Vorheriges Thema - Nächstes Thema

Rawfoto

Hallo Olaf

Du kannst ja im eBay mal bei der Suche Microtome und Mikrotom eingeben, da bekommst Du einen Ueberblick was angeboten wird und wie tief Du in die Tasche greifen musst ...

:-)

Gerhard
Gerhard
http://www.naturfoto-zimmert.at

Rückmeldung sind willkommen, ich bin jederzeit an Weiterentwicklung interessiert, Vorschläge zur Verbesserungen und Varianten meiner eingestellten Bilder sind daher keinerlei Problem für mich ...

Ralf Feller

Hallo Ronald,
die Arbeit ist wahnsinnig gut!
Hast Du das mit deinem AO-Microtom gemacht?
Kannst Du etwas mehr zur Präparation, Einbetten, schneiden sagen?
Oft sprechen wir hier über Vorteile und Nachteile von Optik/Mikroskopen, aber ich denke die Arbeit/Präparation ist viel wichtiger.

Gruß nach Holland, Ralf

crabtack

Hallo,
Auch wenn ein Vernünftiges Mikrotom sehr teuer ist.
Die Histologie ist einfach so Wahnsinnig interessant, da muss ich wohl sparen.
Aber Schluss mit demm Off Topic.
Bei dem Letzten Bild, sind die Langen etwas Verschwommen wirkenden Zellen die Nerven?

ZitatOft sprechen wir hier über Vorteile und Nachteile von Optik/Mikroskopen, aber ich denke die Arbeit/Präparation ist viel wichtiger.
Es muss Beides Stimmen, mit einem Bresser Biolux würde man Solche ergebnisse wohl auch nciht erreichen..

Gruß
Olaf

Ronald Schulte

@ Ralf,
Das habe ich mit mein altes A&O geschnitten aber wohl mit den Kulzer Messerbehalter und Histoknifes H von Kulzer. Mit meine einwegklingeln von Leica geht es nicht. Die sind einfach nicht steif genug.
Mein Mikrotom ist eigentlich auch nicht zureichend weil es keine retraktion hat. Bei jede Bewegung von das block nach oben, berührt sich das Messer an das block und das sieht man im schnitt.
So wurde es besser sein um ein Motorisiertes mit Retraktion zu haben. Motorantrieb ist auch sehr empfehlenswert weil es mit der Hand fast nicht zu machen ist.
Zukunft!
Präparation und einbetten berichte ich später nochmals. Erst muss ich mehr Erfahrung bekommen und Bilder machen. Kann wohl schon verraten das ich mit das Kulzer System arbeite.

@ Olaf,
Wie Florian schon gut erzählt hat: es geht leider nur mit ein Mikrotom und dann am besten ein Rotationsmikrotom aber es braucht kein neues zu sein. Wichtiger ist das es technisch OK ist.
Deine Nerv-fragen habe ich noch was besser dargestellt.
Es ist eine Gruppe von vegetative Nervenzellen. Mit Rot habe ich eine Zelle angegeben mit in der Mitte den Kern. Der schwarze Pfeil weist nach vermutlich eine Satellit (Mantel) Zelle.
Histologie ist wahnsinnig schön, da hast du recht!

@ Jan,

Bessere aufnahmen von den Burstensaum gibt es eigentlich nicht in diesen schnitt.
Wohl sind die Interzellulär Spalten gut zu erkennen (schwarze Pfeilen).

Grusse Ronald




Mikroskope:
Leitz Orthoplan (DL, AL-Fluoreszenz und Diskussionseinrichtung).
Leica/Wild M715 Stereomikroskop.
Mikrotom:
LKB 2218 Historange Rotationsmikrotom.

crabtack

Hallo Ronald,
Danke für die Kennzeichnung der Nerven.

Gruß
Olaf

Ronald Schulte

@ Roderich,

Da hast du es gut bezeignet. Holger und Florian bestätigen das ja auch. Dein "Kurzlehrbuch Histologie" ist also noch nicht so schlecht.

Grüße Ronald
Mikroskope:
Leitz Orthoplan (DL, AL-Fluoreszenz und Diskussionseinrichtung).
Leica/Wild M715 Stereomikroskop.
Mikrotom:
LKB 2218 Historange Rotationsmikrotom.

Dieter Stoffels

#21
Liebe Mikroskopiker und Mikroskopikerinnen,

im Folgenden möchte ich gerne den Betrag von Ronald (sein Einverständnis vorausgesetzt) um einige weitere histologische Aufnahmen erweitern. Auch hier handelt es sich um den Dünndarm der Maus, der quer nach einer Technovit-Einbettung zu 3 Mikrometer dicken Schnitten verarbeitet wurde. Gefärbt wurden die Schnitte mit einer Kombination aus Fuchsin und Methylenblau.

Verwendete Abkürzungen:

Bg           Blutgefäß
Bs           Bürstensaum
Bz           Becherzelle
Dl            Drüsenlumen
L.m.m.     Lamina muscularis mucosae      
L.p.m.      Lamina propria mucosae
Ms           Mitosestadien
Ez            Enterozyten
eZ           enterochromaffine Zelle
Sl            muköser Schleim
Sz           Sporozoenzyste
T.m.        Tunica muscularis
T.s          Tela submucosa

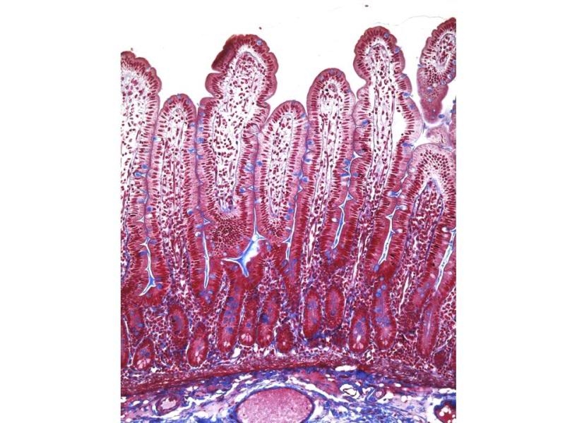
Zunächst möchte ich noch einmal einen Ausschnitt aus der Darmschleimhaut zeigen. Der Querschnitt des Mäusedarmes ist hierbei repräsentativ für den Dünndarm eines Wirbeltieres. In Abbildung 1 wird der mehrschichtige Aufbau des Darmes unter Kennzeichnung der Teilschichten gezeigt.


Abb. 1:  Dünndarmschleimhaut, 20x

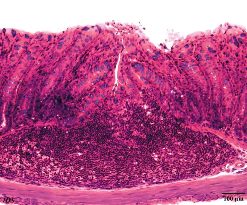
Bei der Durchsicht der Schnitte fallen große lymphatische Areale auf, bei denen es sich im vorliegenden Fall um einen sogenannten Peyer Plaque handelt (siehe Abb. 2). Diese gehören zum darmassozierten lymphatischen System.


Abb. 2:  Peyer´sches Plaque im Dünndarm, 10x

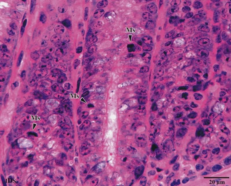
Ein besonderes Merkmal der Darmschleimhaut ist seine hohe Mitoserate. In üblich dicken Paraffinschnitten sind Mitosestadien nur schwer zu erkennen. In Abbildung 3 wurden verschiedene Mitosestadien gekennzeichnet. Bei der Durchsicht derartiger Schnitte lassen sich alle Stadien einer Mitose beobachten.


Abb. 3:  Mitosestadien in der Dünndarmschleimhaut, 63x

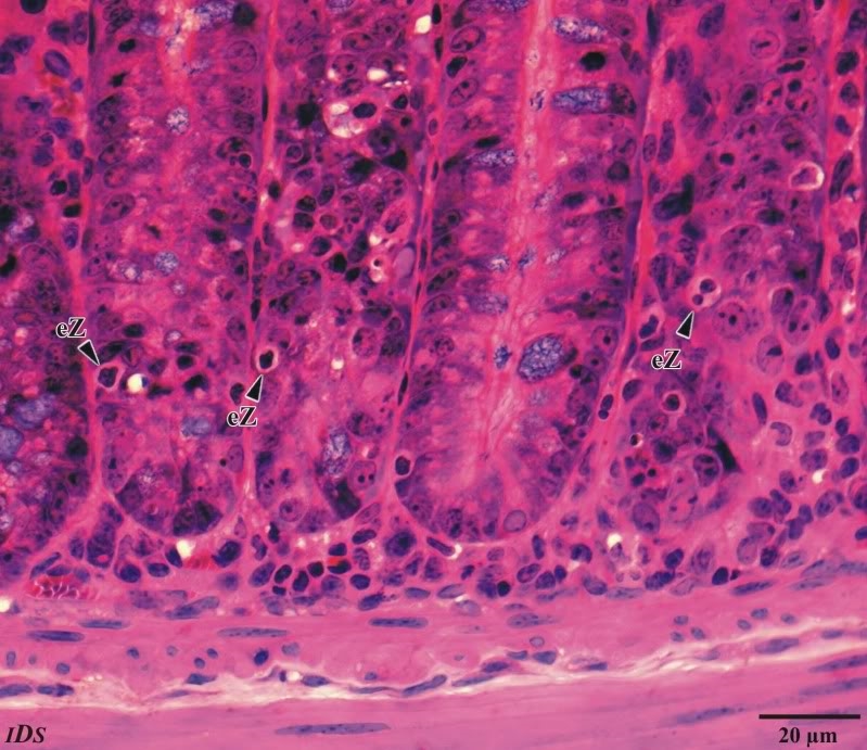
Die Darmschleimhaut enthält neben den Enterozyten und den schleimsezernierenden Becherzellen einen weiteren Zelltyp, der durch helle Höfe um die Zellkerne besonders auffällt. Hierbei handelt es sich um sogenannte "Enterochromaffine Zellen" (EC-Zellen), deren Sekrete u. a. für die Regelung der Darmmotilität  verantwortlich sind. In Abbil-
dung  4 sind die EC-Zellen mit Pfeilen markiert worden.


Abb. 4: Enterochromaffine Zellen in der Schleimhaut des Dünndarmes, 40x

Auf Anfrage habe ich auch noch einmal versucht, den Bürstensaum der Schleimhaut darzustellen. Leider sind die Schnitte hierfür noch etwas zu dick, so dass Semis mit einer Dicke < 2 Mikrometer weiterhelfen könnten.


Abb. 5:  Bürstensaum der Schleimhaut des Dünndarmes, 63x

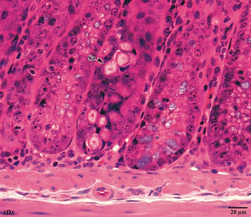
Zum Abschluss möchte ich noch eine kleine Auffälligkeit des Mäusedarmes vorstellen. Bei mittlerer Vergrößerung sind zystische Einschlüsse in der Darmschleimhaut zu beobachten. Hierbei handelt es sich aber nicht um eine darmeigene Struktur, sondern um einen parasitischen Befall mit Sporozoen. In den Schnitten lassen mehrere Entwicklungsstadien verfolgen. Für eine genauere Artbestimmung fehlen mir aber leider der zugehörige Bestimmungsschlüssel.


Abb. 6:  Sporozoen-Zysten in der Schleimhaut des Dünndarmes, 40x

Ich wünsche allen ein schönes Osterfest und viel Spaß beim Anschauen der Bilder!

Dieter

Ronald Schulte

Dieter,

Natürlich ist es Ok um diesen Beitrag zu erweitern, Histologie muss sein und lieber etwas mehr als weniger!

Bin nur kritisch ob es den Dünndarm (Jejunum) ist. Da mussten doch Keckring-Falten, Zotten und Paneth Zellen zu beobachten sein und die sehe ich nicht. Brunner Drusen sehe ich auch nicht aber die sind meine ich nur im Duodenums zu beobachten.

Grüße Ronald
Mikroskope:
Leitz Orthoplan (DL, AL-Fluoreszenz und Diskussionseinrichtung).
Leica/Wild M715 Stereomikroskop.
Mikrotom:
LKB 2218 Historange Rotationsmikrotom.

Florian Stellmacher

Lieber Ronald,
lieber Dieter,

dass bei dieser Vergrößerung Kerckring'sche Falten nicht erkennbar sind, ist klar, aber auch ich vermisse bei Dieters Dünndarm die Zotten. Eigentlich sollte das doch so aussehen (allerdings beim Menschen):


Dündarm, AZAN, Zeiss Plan Neofluar 10x

Die Parasiten finde ich hochinteressant! Sind diese beschrieben und wie sehen die reifen Protozoen aus?

Herzliche Grüße,
Florian
Vorwiegende Arbeitsmikroskope:
Zeiss Axioskop 2
Olympus BHS (DL, Pol, Multidiskussionseinrichtung)
Zeiss Axiophot (DIK und AL-Fluoreszenz)
Zeiss Axiovert (Fluoreszenz)
Wild M400 Fotomakroskop (DL, DF, AL, Pol)

Dieter Stoffels

Hallo Ronald,

vielen Dank für Deine Rückmeldung. Für das Duodenum fehlen die Kerkringfalten (beachte Schnittdicke von nur 3 Mikrometern), ausgeprägte blattförmige Zotten und vor allem Paneth´sche Körnerzellen. Das gezeigte Präparat stammt aus dem hinteren Abschnitt des Ileums. Kennzeichnend für diesen Darmabschnitt sind viele Peyer-Plaques, niedrige Zotten, aber tiefe Krypten. Ich werde in einigen Wochen auch einmal ein Teil des vorderen Dünndarmabschnittes in Technovit schneiden und später einige Bilder zeigen.

Herzliche Grüße!

Dieter

Ronald Schulte

Dieter,

Du brauchst von mir aus keine Wochen zu warten, darf auch schon l.m.s. (lasse mal sagen) ende von kommende Woche. Ich bin neugierig!

Grüße Ronald
Mikroskope:
Leitz Orthoplan (DL, AL-Fluoreszenz und Diskussionseinrichtung).
Leica/Wild M715 Stereomikroskop.
Mikrotom:
LKB 2218 Historange Rotationsmikrotom.

Dieter Stoffels

#26
Hallo Florian,

auch bei Dir möchte ich mich für die Rückmeldung bedanken. Im Folgenden habe ich eine Übersichts- und eine Detailaufnahme des Mäusedarmes des vorderen Dünndarmbereiches abgebildet. Hierbei handelt es sich um Paraffinschnitte, die mit H&E gefärbt wurden (Vergleichsaufnahmen zur menschlichen Histologie des Dünndarmes).


Vorderer Dünndarm der Maus, Übersicht, 25x


Vorderer Dünndarm der Maus, Detail, 120x

Leider kann ich Dir zur Zeit nicht mehr zu den Sporozoen sagen, als ich bereits oben geschrieben habe. Ich habe diese Parasiten schon mehrfach in Därmen von Mäusen nachweisen können. Auch sind unterschiedliche Entwicklungsstadien vorhanden. Ich vermute, dass es sich bei meinen Zysten um einen männlichen Mikro-Gamonten handelt, aber für eine sichere Beurteilung fehlt mir die entsprechenden Kenntnis und vor allem die nötige Erfahrung.

Herzliche Grüße!

Dieter

Florian Stellmacher

Lieber Dieter,

vielen Dank für die nachgetragenen Bilder. Hier erscheint mir die Maus noch doch wieder richtig "menschlich"! Die Lymphfollikel der Maus sind in Relation zu den anderen anatomischen Strukturen recht groß und die Muskulatur der Darmwand vergleichsweise schmal, ansonsten für mich ein fast gewohntes Bild.

Die Parasiten finde ich richtig spannend, wie ich schon sagte. Haben Deine Mäuse diese regelmäßig (Epidemie einer Population) oder nur sporadisch? Wie geht es den Mäusen damit? Hast Du mal den Mäusekot in wenig abgekochtem Wasser zu kultivieren versucht?

Herzliche Grüße,
Florian
Vorwiegende Arbeitsmikroskope:
Zeiss Axioskop 2
Olympus BHS (DL, Pol, Multidiskussionseinrichtung)
Zeiss Axiophot (DIK und AL-Fluoreszenz)
Zeiss Axiovert (Fluoreszenz)
Wild M400 Fotomakroskop (DL, DF, AL, Pol)

Dieter Stoffels

Hallo Florian,


ich selber halte keine Labormäuse. Bei der Maus, die ich hier verarbeitet habe, handelte es sich um eine typische "Schlangen-Futtermaus". Diese Maus zeichnen sich durch viele Inzuchtmerkmale aus, war aber ansonsten vital und hatte ein altersgerechtes Gewicht. Auch zuvor verarbeitete Mäuse waren trotz dieses Parasitenbefalles gesund. Ich glaube, der Befall ist vergleichbar mit dem Gregarinenbefall der Samenblase des Regenwurmes. Viele Würmer zeigen diesen Befall, behalten aber ihre Fitness. Nach Auskunft eines Parasitologen ist eine genauere Artbestimmung der Sporozoen sehr schwierig. Von einer weiteren Behandlung des Mäusekotes konnte ich mich selbst bisher noch nicht überzeugen (Koprophile mögen jetzt vortreten!).

Herzliche Grüße!

Dieter

Florian Stellmacher

Lieber Dieter,

das Wort "Koprophile" gefällt mir großartig, betreibe ich doch selbst häufiger "Koproskopie" im Wurmfortsatz anderer Leute  ;D!

Ich finde, Du solltest Dich da aber im Interesse der Wissenschaft überwinden  ;) ...

Herzliche Grüße,
Florian
Vorwiegende Arbeitsmikroskope:
Zeiss Axioskop 2
Olympus BHS (DL, Pol, Multidiskussionseinrichtung)
Zeiss Axiophot (DIK und AL-Fluoreszenz)
Zeiss Axiovert (Fluoreszenz)
Wild M400 Fotomakroskop (DL, DF, AL, Pol)