Hilfe Hilfe Hilfe !!! (histologisches Experten-Wissen gefragt)

Begonnen von Rubs, Dezember 21, 2013, 20:15:07 NACHMITTAGS

Vorheriges Thema - Nächstes Thema

Rubs

Hallo meine lieben Histo-Freunde!

Mein Name ist Ruby und ich brauche eure Hilfe und ein wenig eurer kostbaren Zeit!

Ich möchte in diesem Thread einige Histo-Bilder posten, deren Beschriftung mir etwas Schwierigkeiten bereitet. Die Schnitte habe ich nicht selbst angefertigt (so viel Talent besitze ich leider nicht), sondern habe sie aus meinem Prüfungskatalog entnommen. Da ich neben meinem Studium (Humanmedizin) gelegentlich auch Anatomie unterrichte, benötige ich manchmal histologische Bilder, die ich parallel zur Makroskopie anbieten möchte, denn ohne Histo ist tiefgründiges Anatomie-Verständnis nicht wirklich möglich.

Bei den meisten Bildern kann ich die wichtigsten Strukturen selbst benennen, nur hin und wieder versagen meine Histo-Künste und ich stehe etwas auf dem Schlauch.

Es wäre schön, wenn ihr euch etwas Zeit nehmen könnten, um mir gelegentlich auf die Sprünge zu helfen.

Ich werde nach und nach alle Bilder, die mir Kopfschmerzen bereiten, posten was allerdings nicht bedeutet, dass ich auch im selben Tempo Bestimmungshilfe erwarte. Lasst euch alle Zeit, die ihr braucht, um mit zu Antworten. Ich bin für jeden Input sehr dankbar und freue mich bereits auf die Zusammenarbeit mit euch.

Ein ganz dickes Dankeschön geht an dieser Stelle an Ronald Schulte, der sich immer ganz viel Mühe gibt mir zu helfen!!!
liebe Grüße Ruby

Rubs

#1


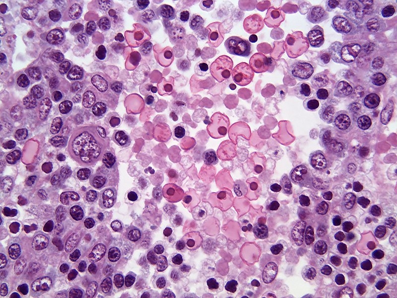
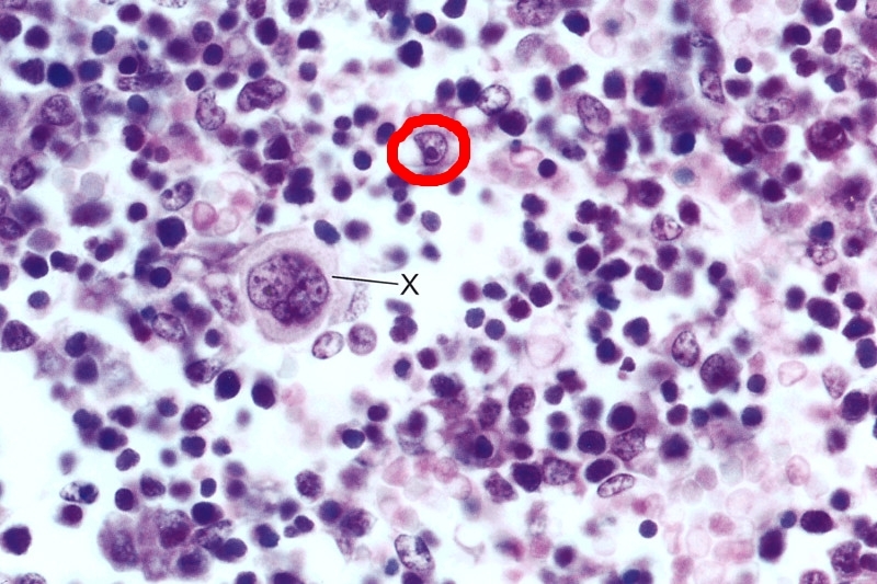
Bild stellt rotes Knochenmark dar
X = Megakaryozyt
kann jemand die restlichen Zellen bennen?
liebe Grüße Ruby

Rubs

#2
Parotis.png
liebe Grüße Ruby

Fahrenheit

#3
Liebe Ruby,

nur nicht hektisch werden.  ;D

Es werden sich sicher einige freundliche Kolleginnen und Kollegen finden, die Dir helfen - darum geht es hier in diesem Unterforum schließlich. Aber es nutzt Dir wenig, wenn sich unsere Botaniker oder Tümpler Deine Bilder anschauen.
Versuche es mal mit einer treffenden Überschrift, um gezielt im Becken der Histologen / Pathologen zu fischen. Über Beitrag ändern lässt sich auch die Überschrift anpassen.

Herzliche Grüße
Jörg
Hier geht's zur Vorstellung: Klick !
Und hier zur Webseite des MKB: Klick !

Arbeitsmikroskop: Leica DMLS
Zum Mitnehmen: Leitz SM
Für draussen: Leitz HM

Rubs

#4


* = hochendotheliale Venole = HEV (in einem Lymphknoten)
was sind denn die anderen blauen Kreise in der Peripherie? Ich schätze mal auch Blutgefäße - aber welche? Auch HEV?
liebe Grüße Ruby

Ronald Schulte

#5
Rubs,

Zu dein Knochenmarkbild sieht es aus als ob die Zelle im Roten Kreis ein Normoblast ist (ein vorlauf Stadium von ein Erythrozyte die hier noch Kernhaltig ist). Bestimmung von Knochenmark ist aber nicht so einfach weil da fast alle Zellen in ein anderes Differenziertes Stadium sind.
z.B. Histochemische Nachweis könnte da ausschliessen. Frage z.B. Ralf Feller mal, der ist Spezialist in Blutbildung.
Die Megakaryozyt ist richtig denke ich.

Hier nochmal ein Bild von eine Mausembryo. Da sind viele Stadia von Erythrozyten zu sehen.



Zu deinen hochendotheliale Venole = HEV (in einem Lymphknoten) denke ich auch das du da recht hast. Sogar das Hohe Endothel kann man in die zwei Gelbe Kreisen sehen. Es könnte durchaus sein das du die gleiche Venole drei mal angeschnitten hast.
Das solltest du dich immer in acht nehmen das ein 'coupe' nur ein zweidimensionalen Schicht ist von dreidimensionales Gewebe.



Grusse Ronald
Mikroskope:
Leitz Orthoplan (DL, AL-Fluoreszenz und Diskussionseinrichtung).
Leica/Wild M715 Stereomikroskop.
Mikrotom:
LKB 2218 Historange Rotationsmikrotom.

Rubs

Oh woow ! Vielen lieben Dank für die Hilfe ! Super, dass du dir die Zeit genommen hast. Das hat mir jetzt sehr geholfen. Ja ich habe mir schon gedacht, dass es etwas schwieriger ist Knochenmark-Schnitte zu beschriften, aber deins ist echt toll!!! Hut ab!
liebe Grüße Ruby

Rubs



Bild zeigt eine Arteriolenwand
gelb = Nervenendigung in der Adventitia
was ist rot ??
und wer kann mir sagen, wo sich hier die Basallamina befindet ?

liebe Grüße Ruby

Rubs



Zu sehen ist das Jejunum (PAS-Reaktion)
was sind denn die roten Pünktchen überall? Panteh-Zellen? Es Können doch keine Becherzellen sein, die werden via PAS hellrosa gefärbt!?
liebe Grüße Ruby

Rubs

Lieber Roland,

nur noch mal zur Sicherheit: sind diese hellen Zellen in der Bildmitte von deinem Knochenmarks-Bild die verschiedenen Stadien der Erythrozyten? Was sind denn die umgebenden, etwas dunkleren Zellen? Granulozyten?
liebe Grüße Ruby

Rubs



habe ich das richtig verstanden?
rot = Megakaryozyt
gelb = Erythrozyt-Vorläufer
blau = ??? (ist das ein reifer Erythrozyt? Ich sehe keinen Zellkern)

Danke
liebe Grüße Ruby

Rubs



Bild zeigt die Glisson-Trias
gelb = Leberzellen
rot = Gallenkanälchen
grün = Venole
blau = Arteriole
pink = ??? Ist das ebenfalls ein Teil der Venole od, stellen diese Zellen etwas anderes dar? Die Zellkerne sind platt und nicht so rund wie bei den Hepatozyten. Die Zellkerne der Endothelzellen der Venole erscheinen auch platt - deshalb wäre mein Vorschlag ebenfalls "Venole" - od irre ich mich?

Danke
liebe Grüße Ruby

Ronald Schulte

Rubs,

Zu den Jejunum,

Paneth Zellen sehen aus wie hier im Bild rechts. Farben sich leicht Rosa in die PAS Färbung. Die Becherzellen Farben sich aber richtig Rosa/Purper. Auch das Schleim ist PAS Positiv und in deine PAS Färbung ist Richtig Schleim da und ist denke ich ziemlich Uberfarbt so das Purper auch richtig Purper ist.






Zum Knochenmark. Mein Bild stammt nicht vom Knochenmark. Es kommt aus ein Mausfetus Leber. Da wird zuerst das Blut gebildet. Ob es Blut oder Hepatozyten sind weis ich nicht. Dein Roten Kreis ist eine Megakaryoblast oder -zyte, Blau kann eine reifere Erytrozyte sein aber auch ein Normoblast wovon den Kern nicht angeschnitten ist. Bleibt also unsicher.

In die Leber kannst du einfach hinein Schauen. Klicke auf diesen Link: http://zoom.ronaldschulte.nl/muis16dagenhe/TemplateWebPage.htm

Grusse Ronald
Mikroskope:
Leitz Orthoplan (DL, AL-Fluoreszenz und Diskussionseinrichtung).
Leica/Wild M715 Stereomikroskop.
Mikrotom:
LKB 2218 Historange Rotationsmikrotom.

Ronald Schulte

Rubs,

Zu dein Leber, Alles scheint mir richtig nur das 'Pink' weis ich nicht sicher. Diesen Schnitt ist für mich auch ziemlich uberfarbt und kann nicht mit Sicherheit sagen was es ist. Es könnten einigen Kupferzellen sein!

Grusse Ronald
Mikroskope:
Leitz Orthoplan (DL, AL-Fluoreszenz und Diskussionseinrichtung).
Leica/Wild M715 Stereomikroskop.
Mikrotom:
LKB 2218 Historange Rotationsmikrotom.

Rubs

Aaaahaaa ! Also sind das im Jejunum doch Becherzellen? OK! Dann habe ich da was mit der Färbung durcheinander geworfen ... ich dachte PAS färbt Becherzellen blassrosa und nicht purpur! Super vielen Dank!  :)
liebe Grüße Ruby