Botanik: Fruchtblätter der Sternmagnolie (Magnolia stellata) *

Begonnen von Fahrenheit, Juni 01, 2010, 22:59:44 NACHMITTAGS

Vorheriges Thema - Nächstes Thema

Fahrenheit

Liebe Mikroskopiker,

heute mochte ich Querschnitte der Fruchtblätter einer Sternmagnolie zeigen.

Die Sternmagnolie (Magnolia stellata) ist ein kleinerer Vertreter der etwa 230 Arten zählenden Gattung Magnolia.  Sie erreicht eine Höhe von 2 bis 5 Metern und trägt im zeitigen Frühjahr viele weiße Blüten, die durch eine Vielzahl (15 bis 36) länglicher Blütenblätter (Tepalen) ein sternförmiges Aussehen haben. Der Stamm verzweigt sich kurz über dem Boden und bildet eine breite Krone. Durch Ausläufer können ausgedehnte Dickichte entstehen. Junge Zweige sind gelblich grün und behaart, ältere Äste besitzen eine graue oder braune, raue Rinde.

Der schöne Zierstrauch stammt ursprünglich aus Japan, ist aber bei uns in vielen Gärten heimisch - so auch in unserem.

Zunächst einige Makroaufnahmen von der Blüte:

Bild 1 bis 3: Blüte der Sternmagnolie (1 und 2 Canon S3IS, 3 von "KENPEI" unter GNU Free Documentation License)




Die Blüte ist antizyklisch und lässt sich somit nicht nach Blütenblattkreisen geordnet durch eine 'Blütenformel' beschreiben. Vielmehr stehen die einzelnen Bestandteile der Blüte, angefangen von 2 Kelchblättern sowie gefolgt von Blütenhüllblättern, Staublättern und Fruchtblättern in unbestimmter Anzahl schraubig um eine Blütenachse angeordnet.

Nach der Blüte fallen die verwelkten Blütenhüll- und Staubblätter ab. Übrig bleiben die zapfenartig verwachsenen Fruchtblätter.

Bild 4: Verwachsene Fruchtblätter der Sternmagnolie (Canon S3IS)
 
Unterhalb der Fruchtblätter sieht man noch die Ansatzpunkte der abgefallenen Staubblätter und Blütenhüllblätter.

Leider ist es bei unserer Pflanze noch nie zur Bildung von reifen Früchten gekommen. Daher hier eine Aufnahme von "IKAI" (GNU Free Documentation License)

Bild 5a/b: Reife Früchte der Sternmagnolie

Es handelt sich um eine Balgfrucht, deren Fruchtwand hier bereits aufgerissen ist und die orangen Samen zeigt.

Nachtrag vom 15.09.2012: im letzte Jahr gab es dann doch einige befruchtete Blüten an unserer Sternmagnolie, so dass sich später früchte entwickelten. Im gezeigten Beispiel sind allerdings nur zwei befruchtete Fruchtanlagen zur Entwicklung gekommen, der Rest ist unbefruchtet.


Nun aber zum mikroskopischen Teil.

Etwa 8 bis 12 mm lange Stücke des "Fruchtblattzapfens" der Sternmagnolie habe ich in AFE fixiert und anschließend auf dem Zylindermikrotom mit Leica Einmalklingen im Klingenhalter geschnitten. Die Schnittdicke betrug 50 bis 60 µm. Nach einer Färbung nach Wacker "W3A" erfolgte der Einschluss über Xylol in Malinol.

Photografiert habe ich wie immer mit meiner Canon A520 über den Herrmannschen Adapter an einem Leica Periplan Okular. Mikroskop Leica DME mit Plan- bzw. C-Plan Objektiven.

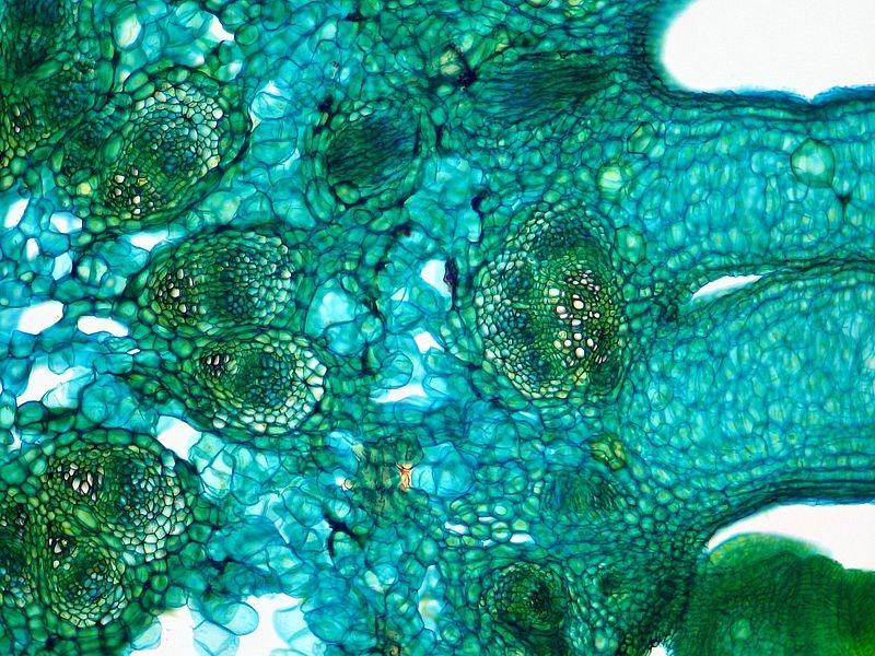
Bild 6: Zentralzylinder mit Leitbündeln, Vergrößerung 50x, Stapel aus 10 Bildern

Der Durchmesser des gesamten "Zapfens' beträgt etwa 6 mm, der Zentralzylinder nimmt davon ca. 1,9 mm ein.
Am rechten unteren Bildrand sieht man eine Samenanlage.

Bild 7: Ein Fruchtblatt mit Samenanlage, Vergrößerung 50x, Stapel aus 6 Bildern
 
Die Samenanlage liegt in einem Hohlraum im inneren des Fruchtblattes und auch zwischen den einzelnen Fruchtblättern kann es Hohlräume geben. Hier liegt der Grund für die recht große Schnittdicke. Dünnere Schnitte waren so fragil, dass sie mir beim Versuch, sie mit dem Pinsel abzunehmen, kollabiert sind.

Bild 8: Die Samenanlage, Vergrößerung 100x, Stapel aus 8 Bildern

Gut erkennbar das Leitbündel zur Versorgung des sich bildenden Samens. Die größte Länge der Samenanlage beträgt etwa 800 µm.


In der getroffenen Schnittebene zeigt sich eine Auffälligkeit, die ich mir nicht ohne weiteres erklären kann: es gibt zwei mehr oder weniger konzentrische Ringe von Leitbündeln. Den inneren ordne ich dem Zentralzylinder zu, von dem die einzelnen Fruchtblätter abgehen. Somit sollten die Leitbündel des äußeren Rings zu den einzelnen Fruchtblättern gehören.
Seltsamer Weise ist nun der Aufbau der Leitbündel spiegelverkehrt. Die innen liegenden Bündel zeigen klassisch ein innenliegendes Xylem, gefolgt vom Phloem. Bei den äußeren Bündeln ist die Reihenfolge jedoch umgekehrt: das Xylem schließt sich außen an das innenliegende Phloem an.

Bild 9: Leitbündelanordnung im Querschnitt wie oben beschrieben, Vergrößerung 100x, Stapel aus 8 Bildern

von Innen (unten) nach Außen:
IXl  : innenliegendes Xylem
APl : außenliegendes Phloem
IPl  : innenliegendes Phloem
AXl : außenliegendes Xylem

Hat jemand eine Idee, wie diese Anordnung zustande kommt?

Bild 10: Leitbündel aus dem inneren Ring, Vergrößerung 200x, Stapel aus 6 Bildern


Bild 11: Leitbündel aus dem äußeren Ring, Vergrößerung 200x, Stapel aus 5 Bildern


Danke für's Lesen, Anregung und Kritik sind wie immer willkommen.

Herzliche Grüße
Jörg

Edit: leider ist mir gestern Abend beim Bild 3 die Autorennennung durchgegangen, die ich eben nachgeholt habe. Das Bild ist nicht von mir, sondern von "KENPEI" in den Wikimedia Commons unter GNU Free Documentation License veröffentlicht.
Sorry.

Edit: verlorene Bilder wieder hergestellt.
Hier geht's zur Vorstellung: Klick !
Und hier zur Webseite des MKB: Klick !

Arbeitsmikroskop: Leica DMLS
Zum Mitnehmen: Leitz SM
Für draussen: Leitz HM

Bernhard Lebeda

Zitat von: Fahrenheit in Juni 01, 2010, 22:59:44 NACHMITTAGS


Danke für's Lesen,

 

..gerne geschehen !  ;D

Lieber Jörg

ein wunderschöner Beitrag!

Bild 1 und 3 sind meine Favoriten, einfach schön!!


Viele Grüsse

Bernhard
Ich bevorzuge das "DU"

Vorstellung

steffenclauss

Hallo Jörg,

ein interessanter Beitrag hinter dem viel Arbeit steckt, Danke!
Ich habe vor ca 15 Jahren den letzten Schnitt (mit Handmikrotom) durch irgendein Gewebe gemacht. Der Erfolg war "mäßig" und habe es dann demotiviert gelassen. Chemikalien stehen noch im Keller, vielleicht versuch ich es nochmal...
..irgendwann.


viele Grüße
Steffen

Mila

Lieber Jörg,

Fruchtblattschnitte habe ich ja noch nie gesehen; ich bin begeistert!!! :)

Klasse!

Beeindruckte Grüße von
Mila

Frank Fox

Hallo lieber Jörg,

das ist wirklich mal wieder eine sehr schöne Dokumentation.  ::)

... und für mich auch Anregungen für eigene Schnitte.  ;)

Herzliche Grüße
Frank
Mikrofotografie
www.mikro-foto.de
www.fotofind.eu

Faszination Mikroskopie
www.dustri.com/nc/de/hachinger-verlag/category/sachbuch.html

Zeitschrift Mikroskopie
http://www.mikroskopie-journal.de/

YouTube - Kanal
www.youtube.com/channel/UC32f7n_zGHMphTHSTC5wylg

Fahrenheit

#5
Liebe Freunde,

vielen Dank für Eure netten Kommentare! Es freut mich wie immer, dass meine Arbeit ankommt.

Liebe Mila,

nun, Fruchtblattquerschnitt war vielleicht etwas viel gesagt. Mit meiner Technik war das nur möglich, weil die Magnolien so nett sind, für Mikroskopiker, die mit dem Zylindermikrotom arbeiten, verwachsene Fruchtblätter in ausreichender Größe vorzuhalten.  
Die Hälfte des Lobes leite ich also an unsere Sternmagnolie weiter ...
:) :)

Lieber Steffen,

bei meinem ersten Anlauf mit einem Garnrollenmikrotom und nachher mit dem heute noch erhältlichen Rasierklingenmikrotom ist es mir genau so gegangen.
Ich denke, mir fehlte damals (mit 14 oder 15 Jahren) die Geduld.
Ich habe vor anderthalb Jahren wieder angefangen, Schnitte zunächst freihand zu erstellen und nutze nun ein Zylindermikrotom (Leihgabe eines lieben Mikroskopikerkollegen) sowie den Klingenhalter von Detlef mit Einmalklingen von Leica. Da gibt es sicher noch einiges zu verbessern, aber im Gegensatz zu damals bin ich mit meinen Ergebnissen recht zufrieden und der Aufwand hält sich in Grenzen.
Wenn Dich die Erstellung botanischer Dauerpräparate interessiert, kann ich Dir nur empfehlen, Dein Mikrotom zu entstauben und es einfach nochmal zu versuchen.

Lieber Bernhard,

die Makrophotografie mit einfachen Mitteln ist ein weiteres Hobby von mir, das sich hier wunderbar kombinieren lässt.
Mit der Canon S3IS bin ich da sehr zufrieden - die Aufnahmen sind ohne große Vorbereitungen entstanden. Einfach auf gutes Wetter warten, Kamera raus und in den Garten.  ;)
In der Regel mache ich so sechs, acht Bilder von einem Motiv - ein gutes ist immer dabei.

Lieber Frank,

da Du mit der Paraffintechnik arbeitest, wirst Du sicher deutlich schönere Schnitte hinbekommen. Die Zellen der Fruchtblätter sind ja vergleichsweise klein und ich musste wegen der Hohlräume recht dick schneiden. Beides ist bei Deinen 10 µm Schnitten kein Problem.
Hast Du eine eigene Quelle? Ansonsten könnte ich Dir ein Probenstückchen zukommen lassen (war 4 Tage in AFE und lagert jetzt in Ethanol 70%).
Auf jeden Fall freue ich mich auf Deine Bilder!


Zu der von mir zu Bild 9 aufgeworfenen Frage zur Orientierung der Leitbündel ist mir heute Morgen eine Idee gekommen. Ich bin bisher davon ausgegangen, dass die Fruchtblätter 'stehend' mit dem Zentralzylinder verwachsen sind. Dann wäre die Anordnung der Bündel schwer zu erklären.
Wenn sie aber 'hängend' verwachsen sind, ergibt sich die beobachtete Spiegelsymetrie quasi von alleine.
Ich werde mal versuchen, ob mein zeichnerisches Geschick ausreicht, diese Idee zu skizzieren.

Allen herzliche Grüße
Jörg
Hier geht's zur Vorstellung: Klick !
Und hier zur Webseite des MKB: Klick !

Arbeitsmikroskop: Leica DMLS
Zum Mitnehmen: Leitz SM
Für draussen: Leitz HM

Jürgen Boschert

Lieber Jörg,

wenn auch verspätet: Danke für diese meisterhafte Darstellung.

Beste Grüße !

JB
Beste Grüße !

JB

Detlef Kramer

Hallo,

lieber Jörg, wieder eine tolle Story!

Zu Deinem Problem. Das Fruchtblatt ist tatsächlich ein Blatt, und beim Blatt ist das Xylem stets auf der Oberseite, weil es ja von dem innen liegenden Spross-Xylem abgeht. Aber, bei der Entwicklung des Fruchtblattes rollt sich dieses um die Längsachse zusammen und zwar zur Achse hin. Dadurch erscheinen die inneren Leitbündel "umgedreht". Ich hoffe, die Erklärung stimmt; auch der Strasburger gibt dazu keine verlässliche Auskunft.

Herzliche Grüße

Detlef
Dr. Detlef Kramer, gerne per DU

Vorstellung: Hier klicken

Eckhard

Lieber Jörg,

ich sehe, Du bist weiterhin sehr fleissig :D

Eine schöne Dokumentation und eine gute Idee. Bild 10 gefällt mir sehr.

Herzliche Grüsse
Eckhard
Zeiss Axioscope.A1 (HF, DF, DIK, Ph, Pol, Epifluoreszenz)
Nikon SE2000U (HF, DIK, Ph)
Olympus SZX 12 (HF, DF, Pol)
Zeiss Sigma (ETSE, InLens SE)

www.wunderkanone.de
www.penard.de
www.flickr.com/wunderkanone

Fahrenheit

#9
Liebe Freunde,

auch Euch vielen Dank für Euer Lob!

Lieber Eckhard,

nur leider habe ich gerade ein Problem mit den verschwindenden Rottönen. Ich habe schon das Isopropanol ausgetauscht und diesmal über Xylol in Malinol eingedeckt. Irgendwo ist da noch der Wurm drin.

Lieber Detlef,

danke für Deine Erläuterungen. Das obenliegenden Xylem der Blätter war auch Ausgangspunkt meiner Überlegungen.
Um die beobachtete Situation zu erreichen, müssten sich die Fruchtblätter dann spiralig aufgerollt haben. An der Schnittfläche hätte die sich bildende Wendel dann mindestens eine halbe Drehung (allgemein n + 1/2 mit n = 0,1,2 ...).
Ich habe mal ein wenig gegoogled: in den üblichen Scripten (z.B. Synkarpie hier: http://www.limno.biologie.tu-muenchen.de/lehre/material/pflanzen/bluete.html oder hier: https://www.uni-hohenheim.de/lehre370/weinbau/bild_htm/befrucht/fk5syn.htm) sieht es für mich so aus, als ob das Leitbündel außen liegt und nur der "Blattspreit" parallel zu Achse eingerollt ist.
Wobei die verlinkten Skizzen sich wohl auf wirtelige Fruchtblätter beziehen.

Ich werde noch mal weiter lesen. Im Escherich und im Haberland finde ich jedenfalls auch nichts Konkretes.

Herzliche Grüße
Jörg
Hier geht's zur Vorstellung: Klick !
Und hier zur Webseite des MKB: Klick !

Arbeitsmikroskop: Leica DMLS
Zum Mitnehmen: Leitz SM
Für draussen: Leitz HM

Eckhard

Jörg,

Bring doch ein paar Schnitte mit nach Darmstadt. Dann können wir die zusammen färben. Rot muss her!

Herzliche Grüsse
Eckhard
Zeiss Axioscope.A1 (HF, DF, DIK, Ph, Pol, Epifluoreszenz)
Nikon SE2000U (HF, DIK, Ph)
Olympus SZX 12 (HF, DF, Pol)
Zeiss Sigma (ETSE, InLens SE)

www.wunderkanone.de
www.penard.de
www.flickr.com/wunderkanone

Bernhard Lebeda

Zitat von: Fahrenheit in Juni 02, 2010, 08:33:47 VORMITTAG


Lieber Bernhard,

die Makrophotografie mit einfachen Mitteln ist ein weiteres Hobby von mir, das sich hier wunderbar kombinieren lässt.
Mit der Canon S3IS bin ich da sehr zufrieden - die Aufnahmen sind ohne große Vorbereitungen entstanden. Einfach auf gutes Wetter warten, Kamera raus und in den Garten.  ;)
In der Regel mache ich so sechs, acht Bilder von einem Motiv - ein gutes ist immer dabei.



Hallo Jörg

jetzt musste ich aber lange nachdenken: wovon redet der Mann?  ;D ::)

Mea culpa, die Makros meinte ich gar nicht (obwohl die natürlich auch schön sind), Ich meinte die Bilder 6 und 8.


Viele Mikromakrogrüsse

Bernhard


Ich bevorzuge das "DU"

Vorstellung

Fahrenheit

#12
Lieber Eckhard,

einige Schnitte habe ich noch und wenn Frank die Probe nicht haben möchte, bringe ich sie ebenfalls gerne mit.

Lieber Bernhard,

ich verstehe Deine Verwirrung - aber Du hattest 1 und 3 benannt - wobei 3 nicht mal von mir ist, was ich gestern vergessen hatte, korrekt zu bezeichnen.  :-[ ;D

Herzliche Grüße
Jörg
Hier geht's zur Vorstellung: Klick !
Und hier zur Webseite des MKB: Klick !

Arbeitsmikroskop: Leica DMLS
Zum Mitnehmen: Leitz SM
Für draussen: Leitz HM

Hans-Jürgen Koch

Lieber Jörg,

super Beitrag, tolle Bilder.

Gruß

Hans-Jürgen
Plants are the true rulers - Pflanzen sind die wahren Herrscher.

<a href="http://www.mikroskopie-forum.de/index.php?topic=2650.0" target="_blank">Hier geht es zur Vorstellung</a>

Gerne per "Du"

Fahrenheit

#14
Lieber Hans-Jürgen,

auch Dir vielen Dank für Dein Lob!

Liebe Freunde,

nach einer erneuten Betrachtung der Präparate möchte ich in der Hoffnung, der Lösung zum Rätsel der Leitbündel näher zu kommen, noch ein paar Bilder zeigen.
Langsam ist mir das ja fast peinlich. Ich kann schnibbeln was ich will, ich stolpere immer über irgend was, das sich einer schönen, einfachen Erklärung widersetzt.  :o

Bild 12: weitere Details zur Lage der Leitbündel (Vergrößerung 100x, Stapel aus 6 Bildern)

Die großen 'inversen' Leitbündel sitzen  meines Erachtens an der Stelle, an der die eingerollten Fruchtblätter mit dem 'Zentralzylinder' des Fruchtstandes verwachsen sind und somit zwischen zwei Fruchtblättern. Ich vermute daher, dass sie nicht direkt zum Gewebe eines Fruchtblattes gehören.

Bild 13: Das Hauptleitbündel des eines Fruchtblattes (Vergrößerung 100x, Stapel aus 6 Bildern)

Das kleinere Hauptleitbündel des Fruchtblattes an der Außenseite des selben unterstützt meine Vermutung.
Sorry für das schlechte Bild, die Leitbündel im Außenbereich der Schnitte sind leider alle mehr oder weniger schräg getroffen.

Hier liegt das Xylem innen, zur Kammer mit den Samenanlagen hin orientiert. Das Fruchtblatt ist also so zuammengerollt, dass die "Oberseite" die Wände der Samenkammer bildet und die "Unterseite" die Außenwand.

Bild 14: noch mehr Details zur Lage der Leitbündel (Vergrößerung 100x, Stapel aus 8 Bildern)

Ins Bild passt da auch der angeschnittene Leitbündelbogen, der hier auf 11 Uhr zu sehen ist. Ein solcher Bogen würde auch die spiegelbildliche Anordnung der inneren und äußeren Leitbündel erklären.
Andererseits würde man am Ansatzpunkt der Blätter klassischerweise Gabelungen erwarten. Siehe z.B. Escherich, Funktionelle Pflanzenanatomie, 1995, Seite 47.

Das ganze erscheint mir doch recht komplex zu sein ...


In einem weiteren Präparat habe ich noch eine sehr schön angeschnittene Samenanlage gefunden, die ich Euch nicht vorenthalten möchte:

Bild 15: Samenanlage der Sternmagnolie, Vergrößerung 100x, Stapel aus 6 Bildern

Die Samenanlagen der Sternmagnolie sind atrop. Die Länger beträgt ca. 645 µm, die Breite ca. 380 µm.
F : Funiculus, Stiel
C : Chalaza, Basalregion
I  : Integument, Hülle
N : Nucleus, Gewebekern

Bild 16: Eine Ausschnittsvergrößerung des Nucleus (Vergrößerung 200x, Stapel aus 10 Bildern)

Leider lassen sich Ei- und Hilfszellen sowie die Antipoden nicht sehen - ich kann sie jedenfalls nicht entdecken.  :)

Im Gewebe des Fruchtstandes gibt es immer wieder Ansammlungen von Steinzellen, die eine teilweise sehr komplexe Struktur haben. Auch dazu noch ein Bild:

Bild 17: Steinzellennest (Vergrößerung 400x, Stapel aus 12 Bildern)

Die Länge des luftgefüllten Innenraums der rechten Zelle beträgt ca. 50 µm.

Ich würde mich sehr freuen, wenn wir noch zu einer Entwirrung der Leitbündelknäule gelangen würden.  ;D

So, für jetzt muss es reichen, die Sonne lockt mich auf die Terrasse!

Herzliche Grüße
Jörg

Edit: verlorene Bilder wieder hergestellt.
Hier geht's zur Vorstellung: Klick !
Und hier zur Webseite des MKB: Klick !

Arbeitsmikroskop: Leica DMLS
Zum Mitnehmen: Leitz SM
Für draussen: Leitz HM