Dünnschliffe von Mikrofossilien

Begonnen von Holger Adelmann, April 19, 2011, 23:25:51 NACHMITTAGS

Vorheriges Thema - Nächstes Thema

Holger Adelmann

Liebe Kollegen,

angeregt durch den schönen Artikel von Holger Schimmel im Mikrokosmos (März 2011) über Gesteinsdünnschliffe habe ich mir mal wieder meine bescheidene Sammlung von Schliffen hervorgeholt und angeschaut. Ich habe lediglich Mineral-/Gesteinsdünnschliffe von nicht-fossilführendem Material.

Im Artikel von Holger Schimmel hatten es mir jedoch ganz besonders die Schliffe mit den Mikrofossilien angetan ! Was also tun, um an etwas vielversprechendes Material zu gelangen? Die Fundstellen-Literatur ist hier ja nicht ganz einfach, und ganz besonders nicht auf den Freund von Fossildünnschliffen spezialisiert und zusammengefasst, wie auch Herr Schimmel ja schreibt.

Ein anderweitig geplanter Besuch bei der Firma Krantz in Bonn (http://www.krantz-online.de/de/1.html) führte dann zu meiner Erleuchtung :)
Im Hause Krantz war gerade Hausmesse, also Tag der offenen Tür.
Ideal, um die vielen mineralogischen und paläontologischen Schätze des Spezialisten in Form eines Hausrundganges zu erkunden.

Nach einem kurzen Gespräch mit der 'Fachfrau' Cornelia Haasler begannen wir auch schon, die Kellermagazine und die Lager nach einigen
vielversprechenden fossilführenden Gesteinen zu durchforsten. Insgesamt habe ich dann 9 kleine Gesteinsproben und Fossilienreste auf diese Art gesammelt.
Da ich noch keine Schleifanlage habe, gab ich die Herstellung von 9 Dünnschliffen direkt bei Krantz in Auftrag, zugegeben keine billige Sache, aber perfekt in der Ausführung und absolut geeignet um sich erstmal zu orientieren ob einem dieses Gebiet auch Freude machen könnte...

Von den 9 Schliffen waren 7 absolut Klasse, einer eher mager und ein anderer so so. Insgesamt bin ich mit der Ausbeute aber sehr zufrieden da mein Sachverstand auf diesem Gebiet noch sehr gering ist (Frau Haasler hatte hier wohl auch ein glückliches Händchen).

Ich denke im Moment darüber nach, einen kompletten Abele Apparat (http://www.duennschliff.com/) mit ein paar Gleichgesinnten anzuschaffen (Interessenten aus dem Köln / Bonner Raum bitte vor  ;D).

So, jetzt aber zu den Fotos (Leitz ORTHOPLAN, PL Fluotare / PL Apos 6,3:1, 10:1, 16:1), POL Filter und 1-Lambda Platte, Canon EOS 5D):

Die erste Probe stammt aus Dexheim bei Mainz (Schöner Artikel über die Geologie des Mainzer Beckens: http://www.geodz.com/deu/d/Mainzer_Becken). Es ist ein sog. Hydrobienkalk des Untermiozän
(http://epub.ub.uni-muenchen.de/11956/1/zitteliana_2005_45_07.pdf).
Das Gestein besteht zum grössten Teil aus Mikrofossilien, die im Schliff wunderbar zu sehen sind. Ich bin kein Fachmann, könnte mir aber vorstellen, dass die Bilder Foraminiferen zeigen!?
In den Kammern der Gehäuse sind schöne Auskristallisierungen zu sehen







Viel Spass beim Anschauen, wird fortgesetzt.

Herzliche Grüsse
Holger

olaf.med

Hallo Holger,

willkommen im Kreis der Dünnschliff-Freaks. Schön, daß der Virus auch Dich erwischt hat.

Die Abele-Einrichtung ist übrigens ganz phantastisch. Wir haben seit einiger Zeit zwei Einheiten, die wir auch in Studenten-Praktika einsetzen. Auch Ungeübte kommen damit sofort zurecht und die Qualität der Schliffe ist wirklich prima :) :) :)

Herzliche Grüße,

Olaf
Gerne per Du!

Vorstellung: http://www.mikroskopie-forum.de/index.php?topic=4757.0

... und hier der Link zu meinen Beschreibungen historischer mineralogischer Apparaturen:
https://www.mikroskopie-forum.de/index.php?topic=34049.0

Holger Adelmann

Danke lieber Olaf! Ja, ich glaube das wird noch was mit mir und den Dünnschliffen  ;)
Ja, die Abele Maschine habe ich schon gesehen, aber nicht in Aktion. Ich würde gerne versuchen so etwas mit ein paar Interessierten zusammen anzuschaffen, das rechnet sich bestimmt besser bzgl. Anwendungshäufigkeit und Kosten.

Aber jetzt gleich zu Teil 2:

Die Gattung Nerinea war eine im Jura und der Kreidezeit weitverbreitete Turmschneckenart. Die Gehäuse treten stellenweise so häufig auf, dass sie gesteinsbildend sind. Bestimmte Arten wurden bis ca 20 cm gross.

Die folgenden Aufnahmen zeigen Schliffe durch die Schale von Nerinea gracilis (die 'zierliche'), einer sehr kleinen Art der Gattung. Man sieht sehr schön den Aufbau der Schale aus prismatischen Strukturen.
Das Gestein stammt aus der Oberkreide vom Neffgraben, Russbach bei Salzburg.
Touristische Wanderbeschreibung:
http://www.biowin.at/all/Pflanzen/aufnahmeorte/salzburg/Russbach/neffgraben.htm
Wissenschaftliche Beschreibung der Schichtenfolge in diesem Gebiet:
http://www.geologie.ac.at/filestore/download/JB1091_091_A.pdf
Schöne Beschreibung dieser Fundstelle auch in "Fossilien suchen im Salzburger Land" von Gero Moosleitner).

Viel Spass beim Anschauen, wird fortgesetzt.

Herzliche Grüsse
Holger







Holger Adelmann

Teil 3 der Fossildünnschliffe folgt hier.

Ebenfalls im Gestein der Oberkreide vom Neffgraben (Russbach bei Salzburg) und zwischen den Nerinea Schalen und Bruchstücken, finden sich mannigfaltige Mikrofossilien, welche ich noch nicht bestimmen konnte.

Ich beginne mal mit 3 Bildern die offenbar alle Schnitte durch ein gleichgeartetes Objekt darstellen, hat jemand eine Ahnung, was das sein könnte? Durchmesser ca 0.75 Milimeter...








olaf.med

Hallo Holger,

... was die Kakerlaken anbetrifft halte ich mich zurück. Ich mußte zwar mal Wirbellose I und II hören, aber das ist Dekaden her ;D ;D

... bzgl. der Abele Maschine kann ich Dir nur wärmstens empfehlen, einmal hierher zu kommen und das Ding einfach auszuprobieren. Der Weg ist ja nicht so weit es lohnt sich wirklich. Du könntest es auch mit einem Besuch bei mir privat verbinden -  da wirst Du sogar getränkt und gespeist und ein Orthoplan hat's auch. Es liegt direkt an der Strecke zwischen Köln und Bochum.

Herzliche Grüße und schöne Ostertage,

Olaf
Gerne per Du!

Vorstellung: http://www.mikroskopie-forum.de/index.php?topic=4757.0

... und hier der Link zu meinen Beschreibungen historischer mineralogischer Apparaturen:
https://www.mikroskopie-forum.de/index.php?topic=34049.0

Holger Adelmann

Vielen Dank, Olaf, ich habe Dir eine PN geschrieben.

Herzliche Grüsse
Holger

Klaus Herrmann

#6
Hallo Holger,

die respektlose Bezeichnung der Hüllen von toten Lebewesen durch Olaf darfst Du nicht persönlich nehmen  ;)

Aber dennoch kann ich einen Besuch bei ihm empfehlen - Essen und Trinken ist nicht der einzige Grund, warum es sich lohnt.
Eine gewisse Frustrationstoleranz benötigst Du aber. So viel schöne alte Optik siehst Du in keinem Museum!

Ich tippe mal auf Turmschnecken, die in verschiedenen Ebenen senkrecht zur Windungsachse geschnitten wurden.

Super Schliffe und schöne Aufnahmen!
Mit herzlichen Mikrogrüßen

Klaus


ich ziehe das freundschaftliche "Du" vor! ∞ λ ¼


Vorstellung: hier klicken

TPL

#7
Zitat von: Holger Adelmann in April 21, 2011, 15:16:00 NACHMITTAGSIch beginne mal mit 3 Bildern die offenbar alle Schnitte durch ein gleichgeartetes Objekt darstellen, hat jemand eine Ahnung, was das sein könnte? Durchmesser ca 0.75 Milimeter...

Hallo Holger,
schöne Schliffe!
Ich tippe mal auf miliolide Foraminferen im Schnitt senkrecht zur Längsachse. Milioliden besiedel(te)n auch ungefähr das gleiche (Paläo-) Milieu wie die Nerineen: warme Küsten mit schwankender, teilweise erhöhter Salinität.
Beim dritten Bild bin ich mir nicht sicher. Die Schalenstruktur scheint aber ähnlich zu sein, mit einer (ehemals) porzellanartigen Außenseite.

Beste Grüße, Thomas

Holger Adelmann

#8
Lieber Olaf, Klaus und Thomas, vielen Dank für Eure Kommentare.

Thomas, ich glaube Du hast ins Schwarze getroffen mit den milioliden Foraminiferen!!
Hier eine Webseite auf der ein ganz ähnliches Gebilde zu sehen ist:
http://www.gzn.uni-erlangen.de/palaeoumwelt/mitarbeiter/wissenschaftliche-mitarbeiter/link/tuerkei-lykien/

Das entscheidende Bild mit Beschreibung habe ich von der zitierten Webseite entnommen:



Das sieht für mich genauso aus - toll, vielen Dank !

Das Gestein aus der Oberkreide vom Neffgraben ist eine wahre Fundgrube für die verschiedensten Mikrofossilien, ich versuche mal, an mehr Material heranzukommen.

Nachfolgend noch ein paar mir unbekannte Strukturen daraus, vielleicht kannst Du sie ja auch zuordnen Thomas  ;D

Alle folgenden Strukturen zwischen 0.5 und 1,5 mm

Bild 1 ???


Bild 2 - Foraminifere ?


Bild 3 ??? (das orangefarbene 'UFO')


Bild 4 ??? (wieder das orangefarbene 'UFO')


Bild 5 - Foraminifere ?





Holger Adelmann

#9
Teil 4 der Fossildünnschliffe folgt hier.

Die folgenden Fotos zeigen einen Dünnschliff vom Nummulitenkalk aus den Eozän-Schichten der Halbinsel Istrien (ehem. Jugoslawien).
Bei den Nummuliten handelt es sich um Großforaminiferen, die typischerweise 1 bis 2 cm im Durchmesser, aber auch bis über 10 cm erreichen können. Die Familie tritt in der obersten Kreide in Erscheinung und erlebte ihre Blütezeit im frühen Tertiär: Paleozän (65-58 Mio. Jahre) und Eozän (58-36 Mio. Jahre).
Der Begriff Nummuliten stammt von dem im Volksmund gebräuchlichen Begriff der Münzsteine ab (lat. nummulus - kleines Geldstück), zentrische, gekammerte Strukturen, die Kammern waren einst mit dem Plasma der schalentragenden Amöbe besetzt. Bild 1 zeigt diesen zentrischen, gekammerten Bau sehr schön.
In dem Gestein sind aber wie so oft auch noch andere Mikrofossilien zu sehen, die noch bestimmt werden müssen. Aber das macht die Sache ja so spannend ;)

Viel Spass beim Anschauen, wer noch ideen zur Bestimmung hat, bitte melden.

Ich habe einige PN Anfragen bekommen, wie man an solche Schliffe kommt. Meine Vorgehensweise habe ich ja am Beginn dieser Beitragsreihe beschrieben.
Ich habe aber mittlerweile verstärktes Interesse und würde mir doch gerne mit einigen Gleichgesinnten eine Dünnschliffmaschine anschaffen wollen. Ich denke wenn man mindestens 6 'Investoren' zusammenbekommt ist das machbar.

Herzliche Grüsse
Holger

Bild 1


Bild 2


Bild 3


Bild 4 - offenbar eine kleine Foraminifere


Bild 5



TPL

#10
Hallo Holger,
für die ästhetische Darstellung mag die Verwendung des Hilfsobjekts Rot1 geboten sein (aber auch hier würde ich sagen: de gustibus non est disputandum, oder warum muss ein Mercedes Strich-Achter pink lackiert werden?), aber bei der Bestimmung stört die Farbe im allgemeinen. Dünnschliffe für die Karbonatsedimentologie (andere Stichworte: Karbonatpetrographie, carbonate/limestone petrography/petrology) werden gerne etwas dicker (30 - 50 µm) als das übliche Dünnschliff-Maß ausgeführt, um nicht von dem ganzen Kristallogaphie-Gedöns (das war die Retourkutsche auf Olafs "Kakerlaken" ;D) abgelenkt zu werden.

Wenn sie nun schon dünner sind: das ist nicht schlimm. Wichtig wird es dann, den Kontrast zwischen den mikritischen (mikrokristallinen, "unspektakulär" und irgendwie düster aussehenden) und den sparitischen (spätigen, also wohl-auskristallisierten) Partikeln zu maximieren. Das geht recht gut im (stink-) normalen Hellfeld ohne Polarisatoren und mit ein bisschen stärker als gewöhnlich geschlossener Aperturblende. Leicht schiefe Beleuchtung verstärkt die Kornkontakte.

Zu Deinen Bildern:
Bild 1: nicht sicher: Könnte eine Bryozoen-Kolonie sein,
Bild 2: Foraminifere ist sicher korrekt, aber der Schnitt scheint ein bisschen ungünstig (außerhalb der charakteristischen Merkmale),
Bild 3: Zwischen den großen Nerineen-Fragmenten ist eine Foraminifere (UFO oben links). Zur Taxonomie kann/möchte ich nichts sagen. Das dunkle "Ding" rechts unten könnte eine Rotalgen-Kruste sein. Schwer zu sagen...,
Bild 4: noch schwerer zu sagen. Das würde ich einfach bei 'Foraminifere' belassen und einen besseren Schnitt suchen,
Bild 5: textulariide Foraminifere.

In allen Bildern ist natürlich noch reichlich weiterer 'skeletal debris', also Fossil- und Mikrofossilschutt, wie man ihn in einem (ehemals) sehr warmen Flachwassermilieu erwarten würde. Um diesen zu bestimmen, braucht man nicht zwingend Dünnschliffe, sondern es reichen Abzüge des leicht angeätzten Gesteinsklötzchens auf einer Azetatfolie (Suchwort: acetate peel). Wir haben dazu früher nichtmal ein Mikroskop benutzt, sondern ein Industriegerät namens Shadowmaster (nein, nicht das PS3-Spiel).

Diese Abzüge lassen sich auch gut zwischen uralten Diagläsern (ca. 48x48x1mm) einspannen und dann projizieren. Obwohl die nun wahrlich nicht spektakulär aussehen, kam in den Praktika mit ein paar gut gewählten Begleitworten bald "Karibikstimmung" auf. Immerhin sind das die Sedimentationsräume, die 99% von uns mit Traum-Urlaubszielen assoziieren (tropische Karbonatrampen und -Plattformen; also Bahamas, Persischer Golf, Malediven, etc.).

Noch ein Tipp: ein wirklich gutes und ganz sicher preiswertes Werk zur Foraminiferen-Taxonomie für Einsteiger ist Wilfried Rönnfelds Katalog typischer Formen (http://www.foraminifera.eu/roennfeld.html).

Beste Grüße, Thomas

Holger Adelmann

Hallo Thomas,

nochmals vielen Dank für deine Anmerkungen. Auch für den Literatur-Tipp, das Foraminiferen Buch bestelle ich mir.

Ich gehe davon aus, dass sich Deine Kommentare von heute Abend auf meinen Post und die Bilder vom 21. April beziehen , nicht auf die von mir heute geposteten, neuen Bilder.

Herzliche Grüsse & eine schöne Woche
Holger

Fahrenheit

Lieber Holger,

da hast Du aber feine Funde in den Kellern der Firma Krantz gemacht. Tolle Schliffe und wie gewohnt erstklassig fotografiert.
Die Mikrofossilien sind wirklich sehr interessant, davon gerne mehr.

Herzliche Grüße
Jörg
Hier geht's zur Vorstellung: Klick !
Und hier zur Webseite des MKB: Klick !

Arbeitsmikroskop: Leica DMLS
Zum Mitnehmen: Leitz SM
Für draussen: Leitz HM

Holger Adelmann

Gerne lieber Jörg  :)

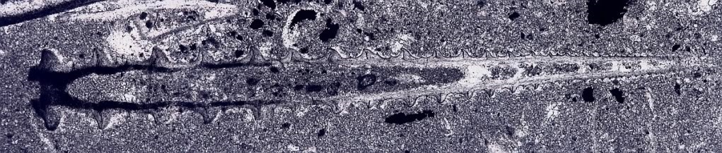
Liebe Kollegen,

heute setze ich die Serie fort mit den sogenannten Tentaculiten.
Die Tentaculiten sind eine ausgestorbene Tiergruppe, sie lebten hauptsächlich vom Ordovizium über das Silur bis in das Devon.
Die genaue biologische Einteilung ist umstritten, da nur die wenige Millimeter grossen, im Beginn teils gekammerten, Kalkgehäuse erhalten sind. Weichteilerhaltungen sind nicht bekannt.

Man streitet noch darüpber ob es sich um marine Würmer (mit einer Tentakelkrone an der Öffnung des spitzkonischen Gehäuses), Weichtiere oder gar Cephalopoden handelte.
Die hier gezeigten Formen lebten in der ehemaligen Helderberg Sea, jetzt im im US Staat New York, im ausgehenden Silur.
Die Gehäuse sind typischerweise quer geringelt, was im Längsschliff an der zackigen Aussenschale deutlich wird. Die Tiere traten stellenweise in grosser Zahl auf und werden dann gesteinbildend ('Tentaculitenschiefer').

Viel Spass beim Anschauen der bizarren Formen. Das dritte Bild ist insofern bemerkenswert, als dass ein kleineres Gehäuse in einem grösseren zu stecken scheint...
Herzliche Grüsse
Holger








Holger Adelmann

#14
Nachtrag:
In dem bereits gezeigten Tentaculitenschiefer aus dem Obersilur kommen auch diese interessanten Formen vor, die ich nicht bestimmen kann.
Vielleicht weiss Thomas (TPL), was das ist??

Herzliche Grüsse
Holger