Hauptmenü

Zeigt her eure Bilder: Arcella

Begonnen von Manfred Melcher, Januar 06, 2013, 13:38:58 NACHMITTAGS

Vorheriges Thema - Nächstes Thema

Ernst Hippe

Hallo Sammler,
hier auch noch ein älteres Bild von mir:

Gruß Ernst Hippe
Vorstellung:Hier klicken

frfmfrfm

Very good mate, this Arcella was collected in a sample Guadalquivir River Sevilla.
Greetings from Spain.



Wolfgang Bettighofer

Zitat von: Ernst Hippe in Januar 07, 2013, 17:16:48 NACHMITTAGS
Hallo Sammler,
hier auch noch ein älteres Bild von mir:

Lieber Ernst,

sehr spannend, die grüne Schlange in der Arcellaschale!

Herzliche Grüße,
Wolfgang
Hier gibt es was für Einzellerfreunde: www.protisten.de. Seit Mitte 2024 vollkommen überarbeitet und neu strukturiert!

Wolfgang Bettighofer

Zitat von: frfmfrfm in Januar 07, 2013, 20:04:40 NACHMITTAGS
Very good mate, this Arcella was collected in a sample Guadalquivir River Sevilla.
Greetings from Spain.

Francisco,

Arcellae don't produce such long preudopods. I think the image shows a member of the suborder "Difflugina" of the order "Arcellinida".

Best, Wolfgang
Hier gibt es was für Einzellerfreunde: www.protisten.de. Seit Mitte 2024 vollkommen überarbeitet und neu strukturiert!

frfmfrfm

#19
Thanks Wolfgang,  delete the photo?  ???

Greetings Francisco.

Wolfgang Bettighofer

Zitat von: frfmfrfm in Januar 07, 2013, 20:33:54 NACHMITTAGS
delete the photo?  ???

My personal opinion is: it's not necessary to delete.

Greetings, Wolfgang
Hier gibt es was für Einzellerfreunde: www.protisten.de. Seit Mitte 2024 vollkommen überarbeitet und neu strukturiert!

Manfred Melcher

Liebe Mikrofotofreunde,

es freut mich, wie diese Bildersammlung sich entwickelt. Neben der herausragenden Qualität vieler Aufnahmen gefallen mir auch kuriose Bilder wie Ernsts Schlauchwagen oder die sich teilende Arcella von Hartmut, die ich noch nie beobachten konnte.
Wenn es euch Spaß macht, werde ich die Reihe mit weiteren Themen fortführen, die ich schon vorbereitet habe. Ich habe dabei an einen wöchentlichen Rhythmus gedacht. Für Anregungen und Kritik bin ich offen.

Weiterhin viel Spaß

Manfred

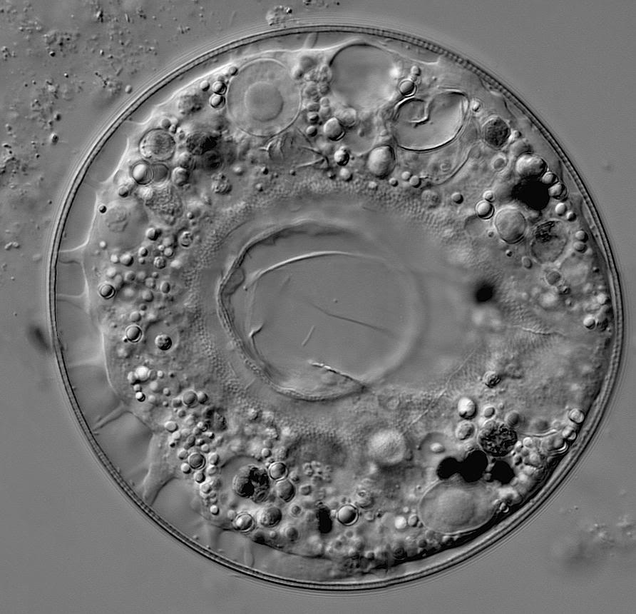
JB

Hallo,

Hier die Aufnahme einer Schale von Arcella mit der Wabenstruktur (Insert; Originalpixel).

Beste Gruesse,

Jon

NPL Fluotar 40/0.70; DIC


Klaus

Hallo Manfred,

gute Idee von Dir.

Hier eine Arcella im Phaco:



Gruß

Klaus

Frank Fox

Hallo liebe Mikrofreunde,

hier ist mein Beitrag zu den Uhrglastierchen/Schalenamöben:

Beim letzten Foto habe ich die Schalenamöbe komplett durchgestacked.

Manfred@ Eine sehr schöne Idee von Dir !!!







Herzliche Grüße Frank Fox  
Mikrofotografie
www.mikro-foto.de
www.fotofind.eu

Faszination Mikroskopie
www.dustri.com/nc/de/hachinger-verlag/category/sachbuch.html

Zeitschrift Mikroskopie
http://www.mikroskopie-journal.de/

YouTube - Kanal
www.youtube.com/channel/UC32f7n_zGHMphTHSTC5wylg

Eckhard2

Hallo,

eine Amöbe aus einem Moosaufguß.



gruß
eckhard

Wolfgang Bettighofer

Guten Abend Herr Plewka,

spannende Bilder, besonders der "am Rad drehende" Ciliat! Zur Gasblasen-Arcella: War die schon auf Schwimmkurs?

Viele Grüße aus Kiel,
Wolfgang Bettighofer
Hier gibt es was für Einzellerfreunde: www.protisten.de. Seit Mitte 2024 vollkommen überarbeitet und neu strukturiert!

Michael Plewka

hallo Herr Bettighofer,

ich könnte jetzt nicht behaupten, dass der Auftrieb der  Gasblasen-Arcella das Deckglas angehoben hätte, aber dennoch...

hier  für die anderen (neuen) Forumsteilnehmer(innen) der Verweis auf einen Beitrag im alten Forum zu diesem Thema:
http://www.mikroskopie.de/mikforum/read.php?2,32172,32316#msg-32316

beste Grüße aus Hattingen
Michael Plewka


Wolfgang Bettighofer

Hallo Herr Plewka,

wie Martin Schneider schon schrieb: Die Zusammensetzung des Gases ist (ihm) nicht bekannt. Sollten sie mittels biogener Spaltung von Wasser H2 darstellen können, wäre das mit dem Deckglas-Heben ggf drin ;D.

Herzliche Grüße,
Wolfgang Bettighofer
Hier gibt es was für Einzellerfreunde: www.protisten.de. Seit Mitte 2024 vollkommen überarbeitet und neu strukturiert!

Holger Adelmann

Auch von mir noch was zum Thema.
Gruss
Holger