Hauptmenü

Pianese-Färbung

Begonnen von Alf, Dezember 28, 2020, 20:22:20 NACHMITTAGS

Vorheriges Thema - Nächstes Thema

Alf

In diesem separaten Artikel möchte meine Erfahrungen mit der Pianese-Färbung teilen. Ich wollte diese Färbung schon lange versuchen und nun habe ich die dafür notwendigen Farbstoffe erhalten. Man findet im Internet kaum etwas über diese Färbung und kaum Vergleichsmaterial. Ich wäre sehr dankbar über jeden der dazu mehr beitragen kann.
Ich habe mich bei der Durchführung genau an das Rezept gehalten das bei Aeisner beschrieben ist (http://www.aeisner.de/methoden/farb118.html).  Lediglich die Differenzierungslösung habe ich nach Gefühl gemischt und ich habe im Maßstab 10 kleineren Mengen gearbeitet. 

Beim Mischen der Farblösungen fiel ein dicker Niederschlag aus, der sich teilweise in Ethanol löste. Ich habe diese Lösung dann stehen gelassen für ein paar Stunden und dekantiert. Die tiefblaue Lösung habe ich verwendet für meine Färbungen. Dabei wurden die Objektträger in die Lösung in einem kleinen Schraubdeckelbecher gestellt. Überschichtet man die Schnitte damit, verdunstet der Alkohol und es bilden sich sehr störende Niederschläge am Objektträger.

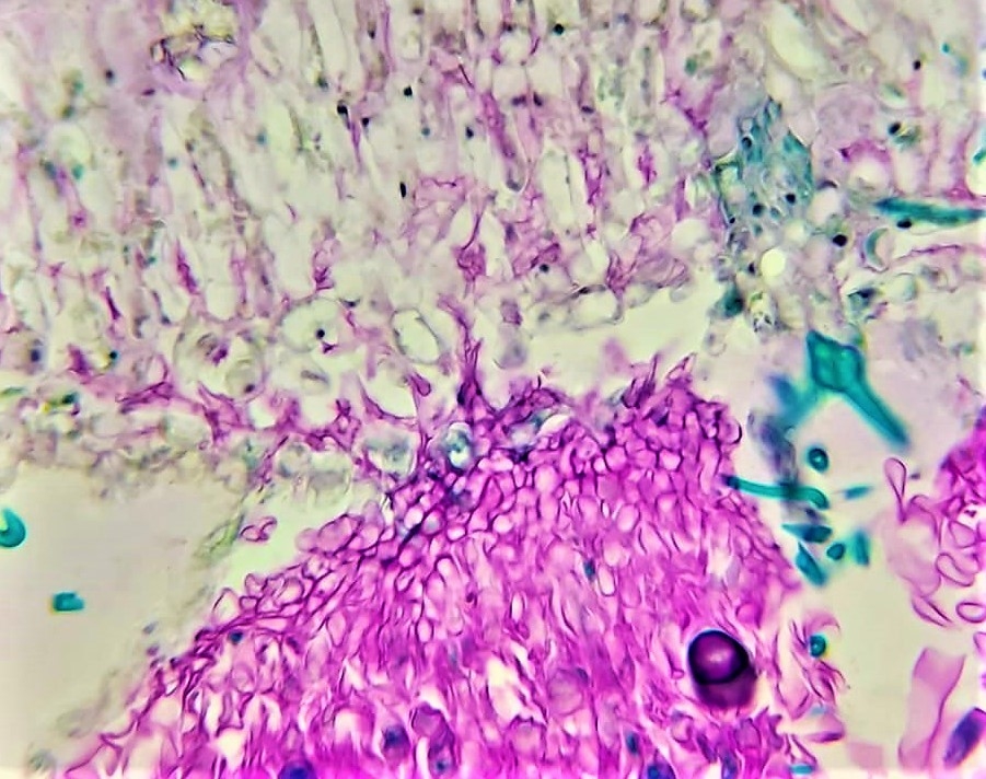
Die Pianese-Färbung soll es erlauben bei Pilz infizierten Pflanzen eine schöne Differenzierung zwischen Pilz- und Pflanzenzellen vorzunehmen. Da auch in den gesunden Pflanzenzellen teilweise sich rosa färbende Organellen und Strukturen befinden habe ich versucht zuerst den Zellinhalt durch Behandlung mit Natriumhypochlorit/Essigsäure zu entfernen. Diese beiden Methoden möchte ich getrennt vorstellen. Die Schnitte variieren in der Schnittdicke. Einerseits enthalten dickere Schnitte (15-20 Mikrometer) mehr Mycel, das sich besser anfärbt, andererseits aber auch mehr Zellen und damit mehr falsch anfärbende Strukturen. Dünne Schnitte (5-10 Mikrometer) färben sich schwächer an, aber dafür erkennt man das Mycel wesentlich besser.


a) ohne Natriumhypochlorit:

die Schnitte wurden einfach gefärbt, danach wurde differenziert für ca. 3 Minuten. Dabei wurde der Differenzierungsfortschritt immer wieder unter dem Mikroskop beobachtet. Sobald ich zufrieden war habe ich mit 100 % Isopropanol abgespült und danach entwässert und eingedeckt.


Abb. 1: dickerer Schnitt, infiziert; verglichen mit dickeren gesunden Abschnitten erkennt man eindeutig eine Veränderung und bei genauerer Vergrößerung kann man auch das Mycel erkennen. Der Kontrast ist aber nicht besonders schön, außerdem färben sich Teile auch stark grün an, was an einer teilweisen Lignifizierung liegt, die als Folge der Infektion auftritt.


Abb. 2: Schnittdicke ca. 10 Mikrometer; hier deutlich bessere Abgrenzung von Mycel und Pflanzenzellen;


Abb. 3: dünner Schnitt; etwas zu stark differenziert die Pflanzenzellwände sind nicht mehr wirklich grün angefärbt. Man erkennt das Mycel als feine rosa Schläuche die das Blatt durchsetzen.


a) mit Natriumhypochlorit:

nach dem Entparaffinieren werden die Schnitte zuerst mit 80 % Essigsäure bedeckt. Hier nicht zu wenig nehmen es soll der Objektträger gut bedeckt sein. Danach tropft man an einem Rand des OT etwas DanKlorix und vermischt es mit der Pipette vorsichtig mit der Essigsäure. Dabei werden sehr geringe Mengen Chlor  frei und diese Mischung entfernt innerhalb von 10 Minuten zuverlässig den Großteil der Zellinhalte. Dadurch soll eine bessere Kontrastierung erreicht werden. Man darf nicht zuerst das DanKlorix auftropfen, da die Schnitte sonst abdiffundieren.


Abb. 4: dünner Schnitt; dieser Abschnitt ist unbefallen und es wurde etwas zu sehr differenziert. Man erkennt keinerlei rosa Strukturen im Blatt. Durch die Überdifferenzierung erscheint der Schnitt ungefärbt, abgesehen von den Trichomen und Zellkernen.


Abb. 5: Übersichtsaufnahme; der Pilz sticht von dem fast ungefärbten Blatt stark hervor.


Abb. 6: Detailaufnahme; die Pilzhyphen heben sich wunderbar ab und man kann sie kaum übersehen, obwohl hier an der Blattoberfläche kein Pilz zu sehen war (vermutlich aus dem Randbereich).


Abb. 7: deutlich zu erkennende Hyphen.



Resümee:

fertigt man dünne Schnitte an, kann man sich das Bleichen sparen, da man ohnehin eine gute Unterscheidung erkennen kann. Die gebleichten Schnitte sind wahrscheinlich etwas schöner und erlauben einen sehr schönen Kontrast auch wenn ich in diesen Proben zu stark differenziert habe. Bei dickeren Schnitten wird empfehle ich das vorhergehende Bleichen, da man hier mehr Mycel hat und dadurch eine bessere Anfärbung erreichen kann. Bleicht man dickere Schnitte nicht, werden die Pilzstrukturen oft überlagert. Ein entsprechendes Präparat muss ich nachreichen, da es leider ein kleines Missgeschick gab.
In den nächsten Wochen werde ich noch ein Paar Sachen versuchen und hier davon berichten, ich muss erst neue Paraffinblöckchen herstellen.

Die Rolle von Martiusgelb bei der Färbung ist mir nicht ganz klar und ich glaube es könnte darauf sogar verzichtet werden.

Die Färbung ist außerdem sehr schön geeignet um Trichome sehr selektiv anzufärben. Sie entfärben sich auch während des Differenzierens kaum. Auch lignifizierte Strukturen färben sich intensiv türkis an und man kann dadurch Defektstellen darstellen.


Abb. 8: Defektstelle im Blatt; Lignifizierung.

Gerd Schmahl

Hallo Alf,
welche Erfahrungen? Ich sehe nichts Erfahrenes, außer den Link zum Färbeprotokoll.
Beste Grüße
Gerd
Man sagt der Teufel sei, im Detail versteckt,
doch hab' ich mit dem Mikroskop viel Göttliches entdeckt.

Alf

Hallo Gerd,

habe wohl zu früh abgeschickt, bin jetzt fertig  :D

LG,
alf

Gerd Schmahl

Hallo Alf,
jaaa, jetzt kommen interessante Erfahrungen zum Vorschein. Danke für das Teilen Deiner Versuchsergebnisse.
Beste Grüße
Gerd
Man sagt der Teufel sei, im Detail versteckt,
doch hab' ich mit dem Mikroskop viel Göttliches entdeckt.

Florian D.

Sehr schön!

Kann es sein, dass beide Blöcke versehentlich "a) ohne Natriumhypochlorit" betitelt wurden?

Viele Grüsse
Florian

Alf

Danke für den Hinweis, wurde geändert!

LG,
Alf

Gert Flemming

Hallo Alf,

in den letzten zehn Jahren habe ich mehrfach Pianese angesetzt.
Beim ersten Mal geschah das nach dem Originalrezept wie es auch bei Eisner angegeben ist. Das Martiusgelb tat sich dabei sehr schwer bei der Auflösung in 1ml Wasser.
Da mir die komplizierte Lösungsvorschrift der einzelnen Farbstoffe in unterschiedlichen Wassermengen nicht einleuchtet, habe ich bei meinen weiteren Ansätzen die einzelnen Farbstoffe (in ihren unterschiedlichen Mengen) in jeweils 50ml Wasser gelöst und sie dann zusammengegeben. Dafür habe ich natürlich die Mischung nicht nochmals mit Wasser verdünnt, sondern gleich den Alkohol zugegeben. Die Gesamtzusammensetzung entspricht damit dem Originalrezept.
Es hat sich bei mir nie ein Niederschlag gebildet.
Allerdings habe ich bis heute auch nicht begriffen, wozu das Martiusgelb beiträgt ...  Vielleicht weiß das ja jemand - es würde mich sehr interessieren.

Mit freundlichen Grüßen
Gert Flemming

Horst Wörmann

Hallo Alf,

erstmal Glückwunsch zur gelungenen Pianese-Färbung!

Wir haben das 2014 in Bonn mal probiert, es ist aber nie gelungen. Beim Ansatz der Lösungen bildete sich immer ein Niederschlag, die Lösung war nicht zu gebrauchen. Wir haben dann durch Kontakt mit dem Herrn Eisner herausgefunden, daß das Säurefuchsin Probleme macht. Altes Säurefuchsin von 1927 ging, aber frisch bezogenes Produkt nicht. Nach Eisner sollte man das Fuchsin S durch Chromotrop 2R ersetzen. Habe ich aber nie ausprobiert.

Viele Grüße
Horst